News
More- 2025.10.20 お知らせ 【ご報告】勤務医・田中先生が日本歯周病学会認定医を取得しました
- 2025.10.04 お知らせ 恵比寿でレーザー治療|モリタ社製「アドメールSH」を導入しました
| 診療時間 | 月 | 火 | 水 | 木 | 金 | 土 | 日 |
|---|---|---|---|---|---|---|---|
| 10:00 - 14:00 | ⚫︎ | - | - | - | ⚫︎ | ⚫︎ | ★ |
| 10:30 - 14:00 | - | ⚫︎ | ⚫︎ | - | - | - | ★ |
| 15:30 - 19:00 | ⚫︎ | ※1 | ⚫︎ | - | ⚫︎ | ※2 | ★ |
休診日:木曜・祝日
※1:15:00 - 18:00
※2:15:30 - 19:30
★日曜:10:00 - 15:00
Greeting
恵比寿の歯医者
「U DENTAL OFFICE 恵比寿」 院⻑⼩川 雄⼤
仕事を第⼀に⽣きてきた⽅、⼦育てや家族を第⼀に⽣活されてきた⽅、⾃分⾃⾝のお⼝の優先順位をあげてみませんか?
⻭は買い替えられません。現状のお⼝の状態での治療は今しかできません。是⾮残せる⻭、残せるかギリギリの⻭を再⽣し残しましょう。
美しいスマイルを。⾒た⽬だけでなく機能も。
常にあなたにとって、最適な最先端の治療を提供します。
- 〈 略歴・資格 〉
-
- THREEE. 主宰
- ⽇本⻭周病学会 認定医
- ⽇本⼝腔外科学会 認定医
- ⽇本⼝腔インプラント学会
- 株式会社モリタ インプラント・GBR コース 講師
- 慶應義塾大学病院 歯科口腔外科 客員研究員
美しいスマイルを。
⾒た⽬だけでなく機能も。
院長の詳しい経歴・講演歴はこちら
診療方針
歯の保存
骨と歯肉の再生
お口の再建
より美しく機能的に
全ては患者さんに最高の笑顔のために
恵比寿の歯医者
U DENTAL OFFICE 恵比寿医院紹介
口もとの小さな変化を未来の大きな健康と幸せにつなげます。 「虫歯や歯周病が治った」「歯並びや前歯が綺麗になった」「噛み合わせが整った」など、口腔を整えることは口もとの健康や見た目だけではなく、全身の健康にも影響を与えます。さらには、歯科診療を行うことで、自信をもって笑えるようになったり、前向きになれたりと心の豊かさにもつながると考えています。
医院紹介包括歯科治療
歯を残す治療
-
虫歯の治療
虫歯は自然治癒に戻ることはありません。侵食された部分を取り除く、溶けた部分を詰める、かぶせ物をして治療します。
More -
歯周病の治療
歯肉を美しく整え、白い歯の部分だけでなく、歯茎も綺麗にする手術。ガミースマイル、歯肉退縮、歯茎の凹みの改善。
More -
予防歯科
予防歯科では、虫歯や歯周病になってから治療するのではなく、それらの病気を予防するための治療を行います。
More -
精密根管治療
精密根管治療は、感染経路の特に虫歯の感染から始まったものに対して、経路の遮断、再感染の防止を行う治療です。
More -
歯髄温存療法
歯髄温存療法では、今まで神経を取らなくてはならないと言われるような深い虫歯でもVPTをすることで温存することが可能になりました。
More
歯を作る治療
-
インプラント
インプラントセミナー講師を務める院⻑による、⾒た⽬も機能性も考え抜かれたインプラント治療。
More -
矯正歯科
当院では歯並びの見た目の改善はもちろん、噛み合わせを重視した矯正治療を行なっております。
More -
セラミック治療
天然歯のような仕上がりで、欠けた歯や銀歯を白く美しく、精度や機能、歯の温存にこだわったセラミック治療。
More
審美治療
-
ガミースマイル
ガミースマイルの根本原因をしっかりと診査・診断することで適切で最善な治療法を選択いたします。
More -
ダイレクトボンディング
金属を一切使用しないため、金属アレルギーの方も安心して治療を受けていただけます。
More -
ホワイトニング
ホワイトニング剤を塗布することで、歯の表面の黄ばみ色素を分解して歯を漂白していきます。
More -
矯正歯科
当院では歯並びの見た目の改善はもちろん、噛み合わせを重視した矯正治療を行なっております。
More -
噛み合わせ
噛み合わせ治療とは、咬合状態の維持を図るためになされる全てを含める治療行為を意味します。
More -
セラミック治療
天然歯のような仕上がりで、欠けた歯や銀歯を白く美しく、精度や機能、歯の温存にこだわったセラミック治療。
More
その他の治療
当院の特徴
あなたにとって
常に最適で最先端の歯科治療を
恵比寿の歯医者、Uデンタルクリニック恵比寿では患者さんのお話に耳を傾け、丁寧な診察を行います。得られた検査結果の意味、現在の口腔内の状態、今後どうなる可能性が高いかなどを説明し、考えられる治療法をご提案します。
-
Feature 01
世界基準
本当の本物の治療を患者さんが満足のいく治療を行うことは最低限ですが、患者さん受けが良いだけの治療は行いません。どの歯科医が見ても称賛されるような治療を行います。
歯科の専門である我々が患者さん以上にこだわることが本当の治療だと考えます。これはその場しのぎの治療ではなく再治療のリスクをなるべく抑えた治療、ひいては終末歯科治療:terminal dentitionに繋がると考えます。 -
Feature 02
日々研鑽し
最新で最善な治療を昔の歯科治療の良いものは継承することはもちろんですが、常に最新の良い治療(技術・機材)を取り入れアップデートしてく必要があります。
1年前には不可能であったことが現在では可能になる時代、常に歯科医療従事者は学ばなければなりません。恵比寿の歯医者、Uデンタルクリニック恵比寿では日々の研鑽で最新で最善な治療を提供します。 -
Feature 03
専門性のある治療を
現在の日本の一般的な歯科治療は、専門性のある分野も、ない分野の治療も1人の歯科医師が行うことがスタンダードです。
当院では専門性のある分野を専門的な歯科医師が行います。 -
Feature 04
患者様にも自分の口の中の状況、
治療内容を理解していただく自分の口の中がどのような状態なのか、ご存知のない患者さんがほとんどです。
皆様お一人お一人の歯の状態や暮らしに合った治療をご提案いたします。当院は現状の把握、治療の内容、ゴール設定を理解していただいてから治療を開始。治療中も記録(写真・動画)を撮り、その説明を行います。それは嘘の無い治療につながり、そして更なる信頼につながります。 -
Feature 05
一度の治療は長く丁寧に無駄なく
だからこそ、通院回数は少なくお口を長時間開けることが許されるのであれば、治療によっては長時間で集中的に効率良く治療を行うことのメリットがあります。恵比寿の歯医者、Uデンタルクリニック恵比寿では、患者さんの負担も少ない短期集中の治療が可能です。
-
Feature 06
部分的だけではなく
お口全体の診断・治療の重視症状がある部分は歯がない部分のみの治療を行うのではなく、お口の中全体を見た治療を重視します。お口、顎、顔面、全てを診断し治療の提案を行います。
その部分の治療だけで良いのか、他も含めて治療すべきなのか、その判断が人生トータルでみた時には圧倒的に治療費用、期間、治療回数が削減できると考えています。
初めての方へ
今までの歯科治療は、起きたトラブルをその場しのぎに解決することの繰り返しでした。ですが、そういった治療だけでは歯は一生涯もちません。
なぜ病気になったのか、どのくらい病気になりやすいのかは一人ひとり異なります。恵比寿の歯医者、Uデンタルクリニック恵比寿では患者さんごと特有の原因から治療改善・精密な修復を行います。また、歯を長持ちさせるために、世界標準かつ高品質の予防と治療を提供出来る環境作りに努めています。
お口のお悩み
こんなお困りごとは
ございませんか
通院中の歯科医院から治療を断られてしまうようなケースでも、諦めずに是非一度当院にご相談ください。納得のできる治療の提供をお約束します。
-
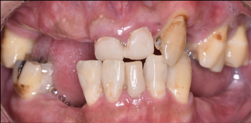
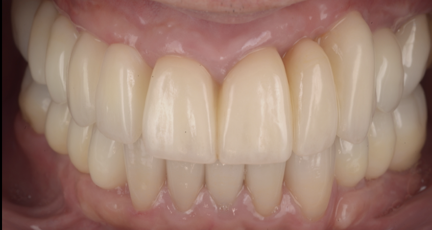
他院にて
歯を残せないと言われた方再生療法で残せる場合があります。当院の院長は歯を残す新しい術式を英語論文にて世界へ発信しています。
自分の歯にこだわりたい方、是非ご相談ください。 -
他院にて骨がないので
インプラントを断られた方現在の技術では骨が不足してインプラントが不可能なことはほとんどの場合ありません。院院長は骨の再生手術を歯科医師に教育する講師を努めております。是非ご相談ください。
view more -
インプラントに
トラブルを感じている方インプラントも歯周病になります(インプラント周囲炎)。インプラントの再生療法も条件が整えば可能です。インプラント自体には再生するための細胞もないので、一度骨を失い始めたら自然回復は不可能です。少しでも違和感を感じているようでしたら、処置の必要性を含め診断いたしますので一度ご相談ください。
view more -
手術が怖い方
当院は麻酔医による鎮静下の手術・治療も取り入れております。全身麻酔とは違い、無意識の状態で呼吸は自発的、声かけをすればお口も自分で開くような状態で手術・治療を行うことも可能です。寝て起きたら手術・治療が終わっています。手術・治療に不安・恐怖をお持ちの方、ご相談ください。日帰り可能です。
view more -
近隣の
歯科医院の先生方へ当院の専門はインプラントの骨の再生、歯肉移植 歯周形成外科、再生療法です。GBR、サイナスリフト、インプラントリカバリーや歯肉移植、再生療法のみご依頼、お待ちしております。
お問い合わせ
恵比寿エリアで歯医者をお探しの方は、恵比寿の歯医者「Uデンタルオフィス恵比寿」へ。
予約・相談などお気軽にお問い合わせください。事前に予約いただくと、当⽇お待たせすることがございません。















































