- ホーム
- 症例
症例集
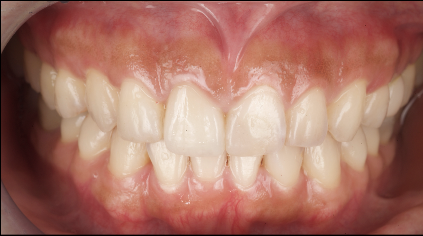
虫歯と歯周病で崩れた前歯・奥歯を、セラミック+リッジオーギュメンテーション+咬合再構成で回復した症例(恵比寿)
- 担当医
- 生野誠
- 主訴
- 虫歯と歯周病で歯がボロボロ。見た目と噛みにくさが気になる。
- 期間
- 12ヶ月
- 費用
- 160万
- 治療内容
- 1)歯周・虫歯のコントロール
補綴治療の前に、歯ぐきの炎症や感染源(虫歯・不良補綴など)を整理し、治療の土台を作りました。
※ここは実際に行った内容に合わせて「TBI/SRP/再評価」など追記できます。
2)右上3欠損:リッジオーギュメンテーション+ブリッジ
欠損部は、ブリッジによる回復を計画。審美性と清掃性、そして補綴の形態を整えるために、**リッジオーギュメンテーション(顎堤増大)**で歯ぐき・土台のボリュームを整えた上で、ブリッジで回復しました。
3)その他:クラウン/ベニアで審美と形態を回復
虫歯・歯質の状態に応じて、セラミックのクラウン・ベニアを使い分け、歯の形と色調、左右差を整えました。
4)咬合再構成(全体の噛み合わせを整える)
「1本ずつ綺麗にする」だけでは、噛み合わせの偏りや過大な負担が残ることがあります。
本症例では全体のバランスを見ながら咬合再構成を行い、見た目と機能の両立、長期安定を目指しました。
- 治療に伴うリスク
- ・ セラミック治療は、噛み合わせや歯ぎしりの影響を受けます。必要に応じてナイトガード等の併用が望ましい場合があります。
• 歯周病は再燃リスクがあるため、メンテナンス(定期管理)が治療結果の安定に重要です。
• リッジオーギュメンテーションは外科処置のため、腫れ・痛み・治癒期間などの説明が必要です(個人差あり)。
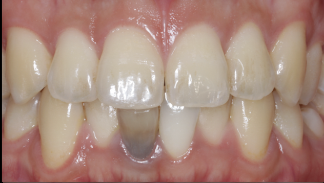
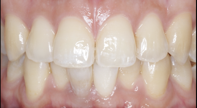
前歯1本だけのセラミック治療(シングルセントラル)|色・形・透明感を周囲に馴染ませたケース
- 担当医
- 生野誠
- 主訴
- 前歯が折れてとりあえずの仮歯を入れたままにしていた。
折れる可能性があるため部分矯正で引っ張り出さないといけないと言われた。
可能であればそのままやりたい
- 期間
- • 期間:2週間〜1ヶ月
• 回数:4回(カウンセリング含む)
- 費用
- セラミッククラウン(前歯1本):165000円(税込)
ファイバーコア:22000円(税込)
仮歯:16500円(税込)
- 治療内容
- 1. カウンセリング/写真・色合わせ(シェード)
2. 既存補綥物の除去・形成(必要最小限の切削を意識)
3. 精密印象(または口腔内スキャン)
4. プロビジョナル(仮歯)で形とラインを微調整
5. 技工士と情報共有(写真・シェード・マッピング)
6. セラミック装着(接着操作)→咬合・発音・清掃性を確認
使用材料
• オールセラミッククラウン(ジルコニア+レイヤリング )
- 治療に伴うリスク
- • セラミックは強い衝撃で欠ける/割れることがあります
• 歯ぎしり・食いしばりが強い場合、マウスピース(ナイトガード)を推奨します
• 失活歯(神経のない歯)の場合、時間とともに色調変化が出ることがあります
• 歯肉の状態や清掃状況により、歯ぐきのラインが変化することがあります
外傷で色が暗くなった前歯に「インナーブリーチ」で自然な白さへ(恵比寿)
- 担当医
- 生野誠
- 主訴
- 「以前ぶつけた前歯の色がくすんできた。できるだけ削らずに見た目を整えたい」
- 期間
- 1週間
- 費用
- 10万
- 治療内容
精密根管治療
インナーブリーチ(ウォーキングブリーチ)
歯の内部に薬剤を作用させ、数回に分けて色調をコントロールしながら改善を目指します。
※状態に応じて、根管治療の状態確認(必要なら再治療の検討)も行います。
- 治療に伴うリスク
- • 変色原因・歯質・既存治療の状況により、効果には個人差があります
• 一時的な知覚過敏様症状、再着色、経年変化が起こる場合があります
• 適応外のケースでは、ダイレクトボンディング/ラミネートベニア/セラミックなど別の審美治療をご提案します
[20代女性]右上犬歯が埋まっている[非抜歯矯正、セラミック、クラウンレングスニング]
- 担当医
- 生野誠
- 主訴
- • 右上の犬歯が生えきらず、歯並びが整わない
• 左の奥歯の噛み合わせがズレて、噛みにくい/違和感がある
• 前歯の見た目(歯の形・長さ、歯ぐきライン)も整えたい
- 期間
- 3年
- 費用
- 200万
- 治療内容
- 診断のポイント
1)埋伏犬歯(右上犬歯)
犬歯は見た目だけでなく、噛み合わせのガイド(犬歯誘導)として重要な歯です。
埋伏したままだと、歯列の乱れだけでなく、ケースによっては隣の歯の根吸収リスクや咬合の不安定さにつながる可能性があります。
2)シザーズバイト(左臼歯部)
シザーズバイトは、上下の奥歯がハサミのようにすれ違って噛み合う状態です。
放置すると、
• 咀嚼効率の低下
• 特定の歯への過負荷
• 歯周組織へのダメージ
につながりやすいため、噛み合わせ全体の設計が大切になります。
⸻
治療方針(なぜ「非抜歯+歯ぐき+補綴」なのか)
今回のゴールは「見た目」だけでなく、噛めること/長持ちすること。
そのため、以下の順序で“土台から”整えました。
1. 非抜歯矯正
→埋伏犬歯の誘導(必要に応じて牽引)+シザーズバイトの改善
2. クラウンレングスニング
→歯ぐきライン・歯の見え方を整える(長期安定も考慮)
3. セラミック修復
→色・形・質感の最終仕上げ(仮歯で確認しながら精度を上げる)
治療の流れ
Step1:非抜歯矯正(埋伏犬歯/シザーズバイトの改善)
• 歯列内に犬歯を並べるためのスペース確保・配列
• 必要に応じて開窓・牽引で犬歯を誘導
• 左臼歯部は、咬合を崩さない範囲で上下の咬合関係を再構築(設計によりゴム掛け等も検討)
ポイント:
非抜歯で行う場合は、歯列の拡大や歯の移動量に“限界”があります。
当院では、見た目優先で無理に動かすのではなく、歯周組織の許容範囲と長期安定を見据えた設計を重視します。
Step2:クラウンレングスニング(歯冠長延長術)
矯正後は、歯並びが整う分、歯ぐきラインの左右差や前歯の長さが目立ちやすくなります。
クラウンレングスニングは、歯ぐきのラインを整えるだけでなく、必要に応じて骨の位置や生物学的幅径も考慮し、清掃性と安定性を高めます。
Step3:セラミック修復(最終仕上げ)
• 仮歯で、形・長さ・見え方・発音などを確認
• 最終のセラミックで、透明感や表面性状まで自然に調整
「白くする」よりも、歯肉・唇・顔貌との調和を優先し、不自然さのない仕上がりを目指します。
⸻
この症例で大切にしたこと(恵比寿でご相談の方へ)
• 犬歯は「見た目」ではなく、噛み合わせの要として評価する
• シザーズバイトは歯の移動だけでなく、咬合設計で改善する
• 審美は歯だけでなく、歯ぐきラインから逆算する
• 矯正・歯周外科・補綴を、別々に行うのではなく一つの治療計画として統合する
- 治療に伴うリスク
- 治療の流れ
Step1:非抜歯矯正(埋伏犬歯/シザーズバイトの改善)
• 歯列内に犬歯を並べるためのスペース確保・配列
• 必要に応じて開窓・牽引で犬歯を誘導
• 左臼歯部は、咬合を崩さない範囲で上下の咬合関係を再構築(設計によりゴム掛け等も検討)
ポイント:
非抜歯で行う場合は、歯列の拡大や歯の移動量に“限界”があります。
当院では、見た目優先で無理に動かすのではなく、歯周組織の許容範囲と長期安定を見据えた設計を重視します。
Step2:クラウンレングスニング(歯冠長延長術)
矯正後は、歯並びが整う分、歯ぐきラインの左右差や前歯の長さが目立ちやすくなります。
クラウンレングスニングは、歯ぐきのラインを整えるだけでなく、必要に応じて骨の位置や生物学的幅径も考慮し、清掃性と安定性を高めます。
Step3:セラミック修復(最終仕上げ)
• 仮歯で、形・長さ・見え方・発音などを確認
• 最終のセラミックで、透明感や表面性状まで自然に調整
「白くする」よりも、歯肉・唇・顔貌との調和を優先し、不自然さのない仕上がりを目指します。
⸻
この症例で大切にしたこと(恵比寿でご相談の方へ)
• 犬歯は「見た目」ではなく、噛み合わせの要として評価する
• シザーズバイトは歯の移動だけでなく、咬合設計で改善する
• 審美は歯だけでなく、歯ぐきラインから逆算する
• 矯正・歯周外科・補綴を、別々に行うのではなく一つの治療計画として統合する
[30代女性]ガミースマイルの改善[クラウンレングスニング]
- 担当医
- 生野誠
- 主訴
- 笑った時の歯茎が気になる
- 期間
- 2回
- 費用
- 28万
- 治療内容
- クラウンレングスニング2回法
- 治療に伴うリスク
- 後戻り
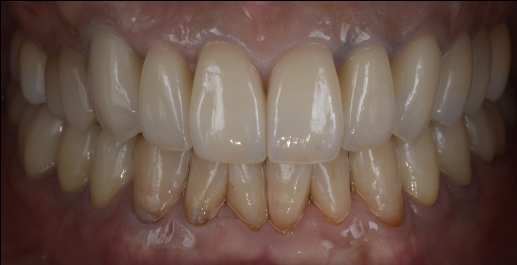
恵比寿|糖尿病患者さんの全顎治療症例|インプラント・矯正・審美補綴で咬合を再構築[50代男性]
- 担当医
- 生野誠
- 主訴
- 口の中がボロボロだから治したい
- 期間
- 3年
- 費用
- 450万
- 治療内容
- ✅ 当院の治療戦略(Uデンタルオフィス恵比寿)
糖尿病患者さんでも治療成功率を高めるために、
“炎症を徹底的に排除し、治癒反応に逆らわない治療ステップ” を採用しました。
⸻
✅ 1. 精密検査(CT・写真・スキャン)
恵比寿院では CT・マイクロスコープ・口腔内スキャナー を全例で使用します。
• 骨量の評価
• 歯根・根尖病変の把握
• 咬合分析(上下のズレ・左右のズレ)
• 歯周組織の診断
を行い、治療方針を立てました。
⸻
✅ 2. 歯周基本治療(炎症の徹底除去)
糖尿病患者さんでは炎症の残存が治療の妨げになるため、
• 専用の超音波・エアフローによるGBT
• SRP(歯周基本治療)
• 必要部位の歯周組織再生療法
• 日常生活のアドバイス(血糖コントロール含む)
を行いました。
⸻
✅ 3. 精密根管治療(マイクロスコープ)
感染源となる歯は すべてマイクロスコープ下で根管治療。
• ラバーダムを用いた無菌環境
• CTとマイクロでの三次元解剖把握
• 最小切削で歯質保存
• 根尖病変の改善を確認後、次のステップへ
⸻
✅ 4. インプラント治療(後方の支台回復)
咬合の支えとなる奥歯にインプラントを配置。
• ガイドサージェリーで安全に埋入
• 糖尿病に合わせた治癒期間の確保
• インプラント周囲炎を起こさない徹底管理
これにより前歯への過負荷が解消されました。
⸻
✅ 5. 噛み合わせの再構成(部分矯正)
噛む力のバランスを整えるため、必要な部位に矯正を行い、
• 咬合平面の修正
• 補綴のためのスペース確保
• 前歯の位置関係を改善
全顎補綴の基盤を作りました。
⸻
✅ 6. 審美補綴(ジルコニア・e.max)
最終的に、上下の歯を
ジルコニアクラウン・e.maxクラウン で仕上げました。
• 恵比寿らしい自然で上質な審美性
• 個々の歯に合わせた色調デザイン
• 噛み合わせの高さ・前後左右のバランス調整
• 発音と咀嚼機能を両立
- 治療に伴うリスク
- 外科的侵襲
再感染
[60代男性]右奥歯から膿が出る[再生療法]
- 担当医
- 生野誠
- 主訴
- 右奥歯から膿が出る
痛みが強い
歯を残したい
- 期間
- 6ヶ月
- 費用
- 40万
- 治療内容
- 精密根管治療
歯周組織再生療法
セラミック修復
- 治療に伴うリスク
- 再感染
[30代男性]下の前歯が暗くて気になる[インナーブリーチ]
- 担当医
- 生野誠
- 主訴
- 下の前歯が暗くて気になる。
以前根管治療した歯が暗くなってきた。
- 期間
- 2回
- 費用
- 7万
- 治療内容
- インナーブリーチ
- 治療に伴うリスク
- 後戻り
[60代男性]奥歯がぐらぐらする[咬合再構成]
- 担当医
- 生野誠
- 主訴
- 奥歯がぐらぐらする
銀歯がコンプレックス
- 期間
- 2年
- 費用
- 300万
- 治療内容
- 精密根管治療
歯周組織再生療法
セラミック治療
- 治療に伴うリスク
- 再感染
セラミックの破折
[40代男性]前歯が折れた[咬合再構成]
- 担当医
- 生野誠
- 主訴
- 前歯が折れた
- 期間
- 約2年間(精密治療と段階的な全顎修復を行いました)
- 費用
- 400万
- 治療内容
- 精密根管治療
歯周組織再生療法
インプラント治療
セラミック治療
- 治療に伴うリスク
- • 治療期間が長期にわたる場合がある
• 状態によってはすべての歯を保存できない場合がある
• 自費診療のため保険診療に比べ費用負担が大きい



















