[20代女性]右上犬歯が埋まっている[非抜歯矯正、セラミック、クラウンレングスニング]
右上犬歯の埋伏+左臼歯のシザーズバイトを「非抜歯矯正」と「クラウンレングスニング/セラミック」で改善した症例(恵比寿)
「犬歯が出てこない」「奥歯がうまく噛み合わない」「前歯の長さや歯ぐきのラインも整えたい」
このようなお悩みは、矯正だけ、あるいは被せ物だけで無理に整えようとすると、仕上がりや長期安定に限界が出ることがあります。
今回ご紹介するのは、
• 右上犬歯の埋伏(出てこない犬歯)
• 左臼歯部のシザーズバイト(鋏状咬合)
を、非抜歯矯正で改善し、さらにクラウンレングスニング(歯冠長延長術)とセラミック修復で、機能と審美を両立させた症例です。
「犬歯が出てこない」「奥歯がうまく噛み合わない」「前歯の長さや歯ぐきのラインも整えたい」
このようなお悩みは、矯正だけ、あるいは被せ物だけで無理に整えようとすると、仕上がりや長期安定に限界が出ることがあります。
今回ご紹介するのは、
• 右上犬歯の埋伏(出てこない犬歯)
• 左臼歯部のシザーズバイト(鋏状咬合)
を、非抜歯矯正で改善し、さらにクラウンレングスニング(歯冠長延長術)とセラミック修復で、機能と審美を両立させた症例です。
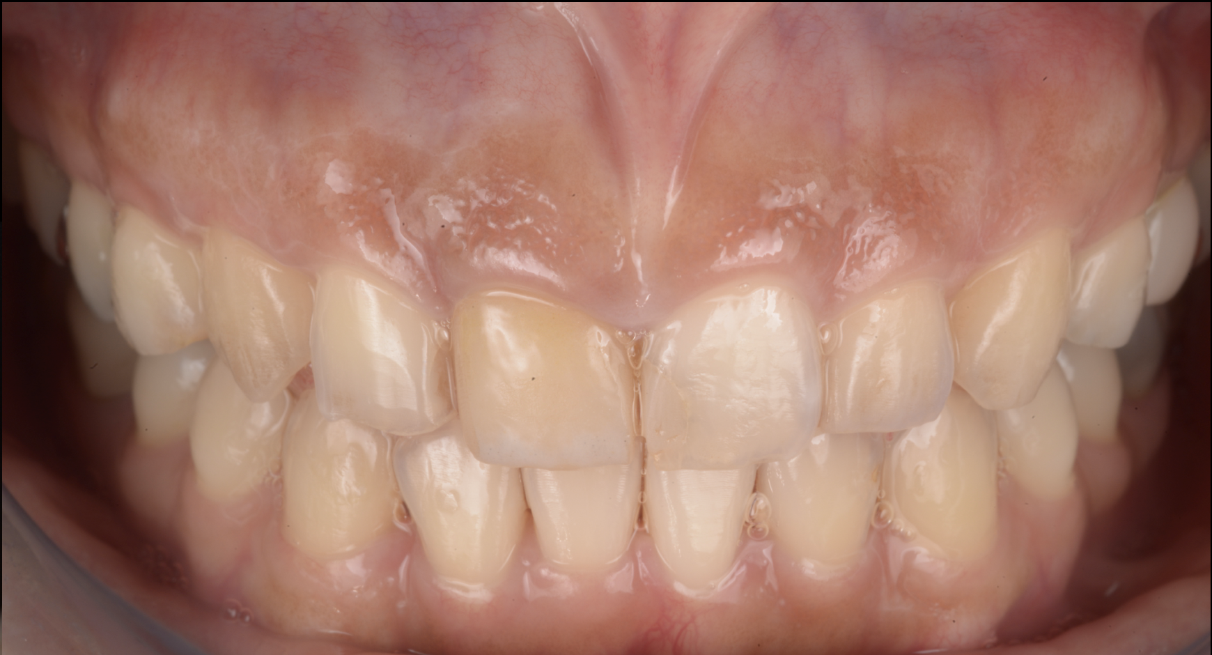
治療前

治療後

矯正終了後

術中(クラウンレングスニング)

| 担当医 | 生野誠 |
|---|---|
| 主訴 | • 右上の犬歯が生えきらず、歯並びが整わない • 左の奥歯の噛み合わせがズレて、噛みにくい/違和感がある • 前歯の見た目(歯の形・長さ、歯ぐきライン)も整えたい |
| 期間 | 3年 |
| 費用 | 200万 |
| 治療内容 | 診断のポイント 1)埋伏犬歯(右上犬歯) 犬歯は見た目だけでなく、噛み合わせのガイド(犬歯誘導)として重要な歯です。 埋伏したままだと、歯列の乱れだけでなく、ケースによっては隣の歯の根吸収リスクや咬合の不安定さにつながる可能性があります。 2)シザーズバイト(左臼歯部) シザーズバイトは、上下の奥歯がハサミのようにすれ違って噛み合う状態です。 放置すると、 • 咀嚼効率の低下 • 特定の歯への過負荷 • 歯周組織へのダメージ につながりやすいため、噛み合わせ全体の設計が大切になります。 ⸻ 治療方針(なぜ「非抜歯+歯ぐき+補綴」なのか) 今回のゴールは「見た目」だけでなく、噛めること/長持ちすること。 そのため、以下の順序で“土台から”整えました。 1. 非抜歯矯正 →埋伏犬歯の誘導(必要に応じて牽引)+シザーズバイトの改善 2. クラウンレングスニング →歯ぐきライン・歯の見え方を整える(長期安定も考慮) 3. セラミック修復 →色・形・質感の最終仕上げ(仮歯で確認しながら精度を上げる) 治療の流れ Step1:非抜歯矯正(埋伏犬歯/シザーズバイトの改善) • 歯列内に犬歯を並べるためのスペース確保・配列 • 必要に応じて開窓・牽引で犬歯を誘導 • 左臼歯部は、咬合を崩さない範囲で上下の咬合関係を再構築(設計によりゴム掛け等も検討) ポイント: 非抜歯で行う場合は、歯列の拡大や歯の移動量に“限界”があります。 当院では、見た目優先で無理に動かすのではなく、歯周組織の許容範囲と長期安定を見据えた設計を重視します。 Step2:クラウンレングスニング(歯冠長延長術) 矯正後は、歯並びが整う分、歯ぐきラインの左右差や前歯の長さが目立ちやすくなります。 クラウンレングスニングは、歯ぐきのラインを整えるだけでなく、必要に応じて骨の位置や生物学的幅径も考慮し、清掃性と安定性を高めます。 Step3:セラミック修復(最終仕上げ) • 仮歯で、形・長さ・見え方・発音などを確認 • 最終のセラミックで、透明感や表面性状まで自然に調整 「白くする」よりも、歯肉・唇・顔貌との調和を優先し、不自然さのない仕上がりを目指します。 ⸻ この症例で大切にしたこと(恵比寿でご相談の方へ) • 犬歯は「見た目」ではなく、噛み合わせの要として評価する • シザーズバイトは歯の移動だけでなく、咬合設計で改善する • 審美は歯だけでなく、歯ぐきラインから逆算する • 矯正・歯周外科・補綴を、別々に行うのではなく一つの治療計画として統合する |
| 治療に伴うリスク | 治療の流れ Step1:非抜歯矯正(埋伏犬歯/シザーズバイトの改善) • 歯列内に犬歯を並べるためのスペース確保・配列 • 必要に応じて開窓・牽引で犬歯を誘導 • 左臼歯部は、咬合を崩さない範囲で上下の咬合関係を再構築(設計によりゴム掛け等も検討) ポイント: 非抜歯で行う場合は、歯列の拡大や歯の移動量に“限界”があります。 当院では、見た目優先で無理に動かすのではなく、歯周組織の許容範囲と長期安定を見据えた設計を重視します。 Step2:クラウンレングスニング(歯冠長延長術) 矯正後は、歯並びが整う分、歯ぐきラインの左右差や前歯の長さが目立ちやすくなります。 クラウンレングスニングは、歯ぐきのラインを整えるだけでなく、必要に応じて骨の位置や生物学的幅径も考慮し、清掃性と安定性を高めます。 Step3:セラミック修復(最終仕上げ) • 仮歯で、形・長さ・見え方・発音などを確認 • 最終のセラミックで、透明感や表面性状まで自然に調整 「白くする」よりも、歯肉・唇・顔貌との調和を優先し、不自然さのない仕上がりを目指します。 ⸻ この症例で大切にしたこと(恵比寿でご相談の方へ) • 犬歯は「見た目」ではなく、噛み合わせの要として評価する • シザーズバイトは歯の移動だけでなく、咬合設計で改善する • 審美は歯だけでなく、歯ぐきラインから逆算する • 矯正・歯周外科・補綴を、別々に行うのではなく一つの治療計画として統合する |



















