- ホーム
- 症例
症例集
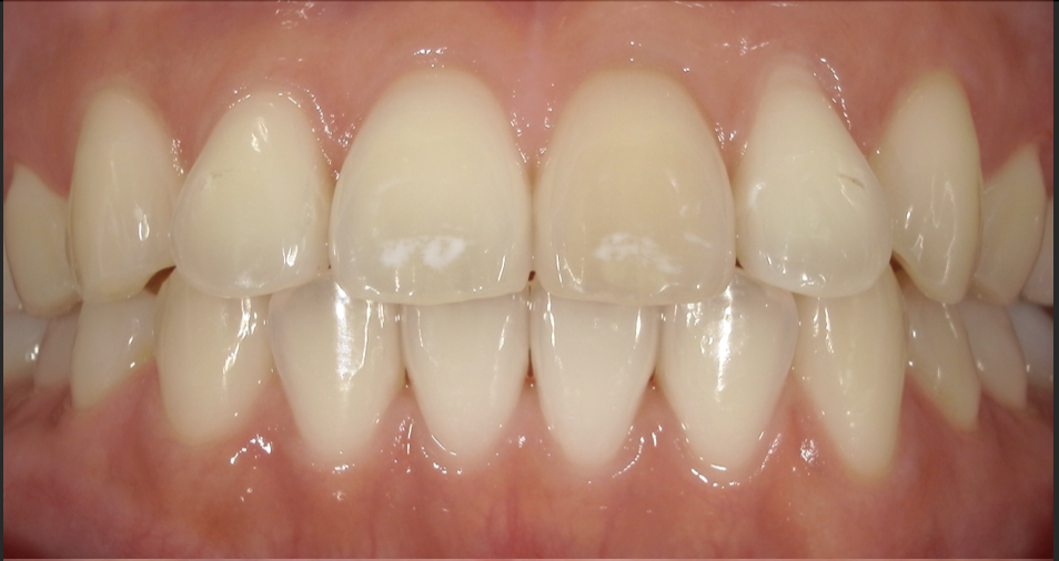
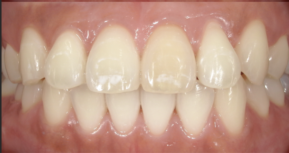
[30代女性]歯の黄ばみが気になる[ホワイトニング]
- 担当医
- 生野誠(DH新井)
- 主訴
- 歯の黄ばみが気になる
- 期間
- 3回
- 費用
- 3万
- 治療内容
- ポリリン酸ホワイトニング
- 治療に伴うリスク
- 後戻り


Group
| 診療時間 | 月 | 火 | 水 | 木 | 金 | 土 | 日 |
|---|---|---|---|---|---|---|---|
| 10:00-14:00 | ● | ━ | ● | ━ | ● | ▲ | ★ |
| 15:30-19:00 | ● | ━ | ● | ━ | ● | ▲ | ★ |
休診日:火曜・木曜
▲土曜:10:00 - 14:00/15:30 - 19:30
★日曜:10:00 - 15:00
| 診療時間 | 月 | 火 | 水 | 木 | 金 | 土 | 日 |
|---|---|---|---|---|---|---|---|
| 10:00-14:00 | ● | ● | ● | ● | ● | ● | ● |
| 15:30-19:30 | ● | ● | ● | ● | ● | ● | ● |
休診日:祝日
午前:10:00 - 14:00 / 午後:15:30 - 19:30