- ホーム
- 症例
症例集
[60代男性]右奥歯から膿が出る[再生療法]
- 担当医
- 生野誠
- 主訴
- 右奥歯から膿が出る
痛みが強い
歯を残したい
- 期間
- 6ヶ月
- 費用
- 40万
- 治療内容
- 精密根管治療
歯周組織再生療法
セラミック修復
- 治療に伴うリスク
- 再感染
[30代男性]下の前歯が暗くて気になる[インナーブリーチ]
- 担当医
- 生野誠
- 主訴
- 下の前歯が暗くて気になる。
以前根管治療した歯が暗くなってきた。
- 期間
- 2回
- 費用
- 7万
- 治療内容
- インナーブリーチ
- 治療に伴うリスク
- 後戻り
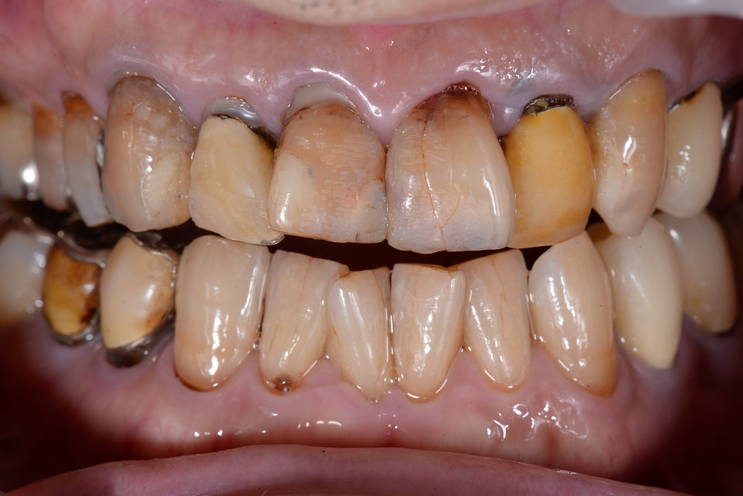
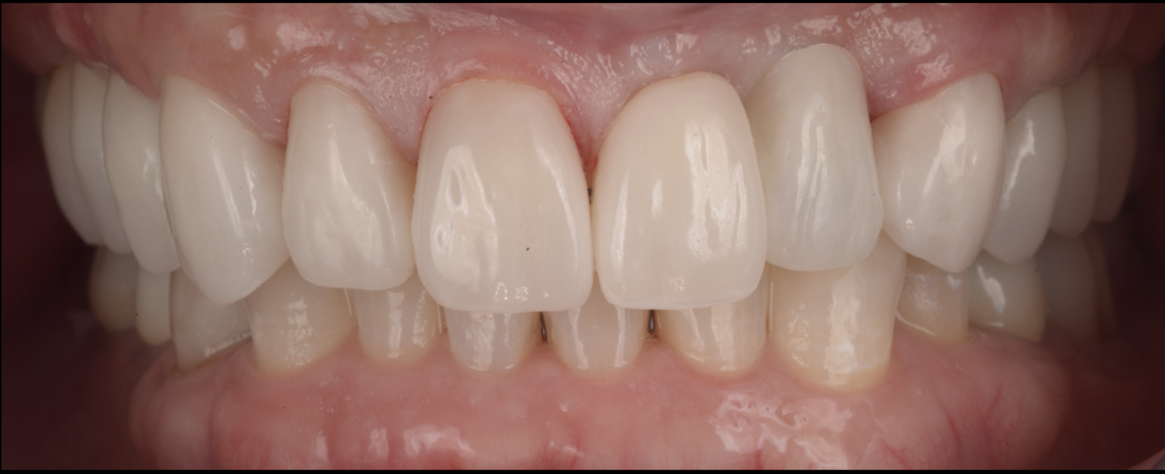
[60代男性]奥歯がぐらぐらする[咬合再構成]
- 担当医
- 生野誠
- 主訴
- 奥歯がぐらぐらする
銀歯がコンプレックス
- 期間
- 2年
- 費用
- 300万
- 治療内容
- 精密根管治療
歯周組織再生療法
セラミック治療
- 治療に伴うリスク
- 再感染
セラミックの破折
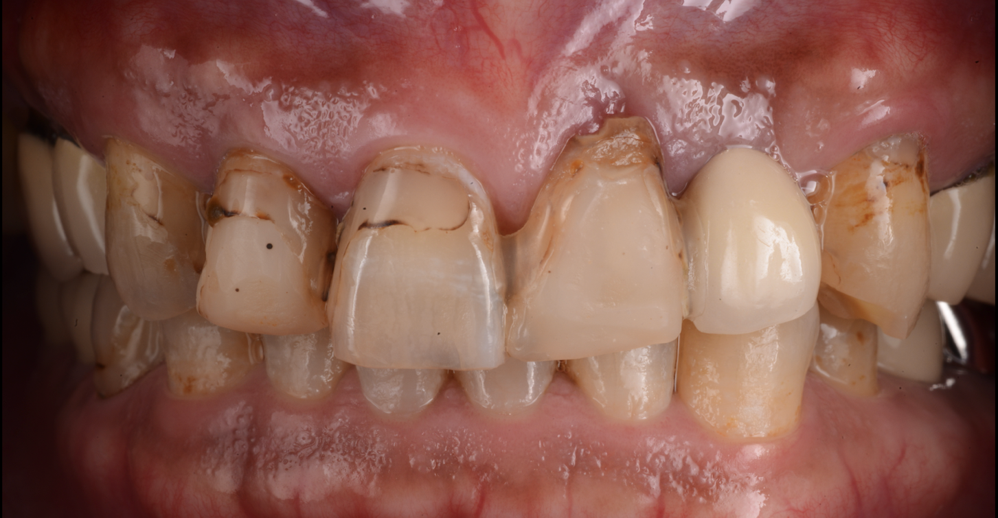
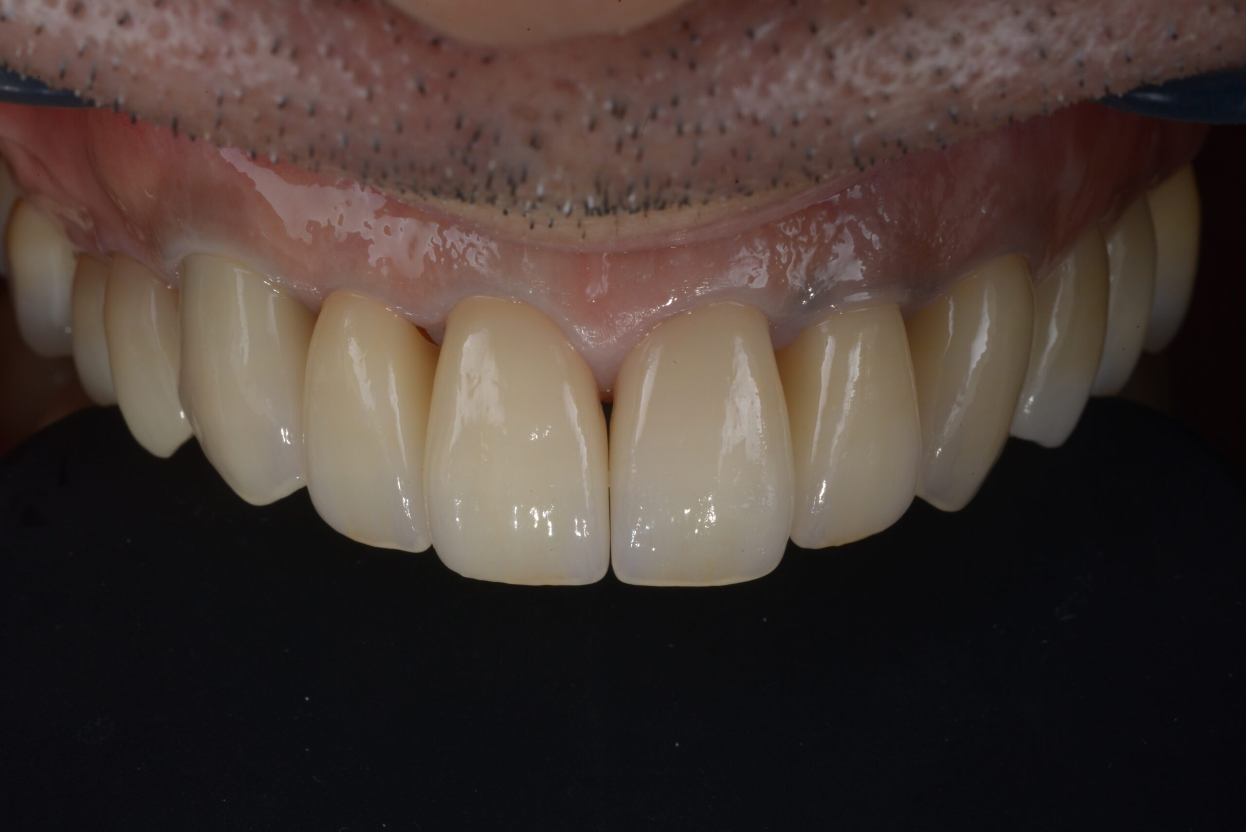
[40代男性]前歯が折れた[咬合再構成]
- 担当医
- 生野誠
- 主訴
- 前歯が折れた
- 期間
- 約2年間(精密治療と段階的な全顎修復を行いました)
- 費用
- 400万
- 治療内容
- 精密根管治療
歯周組織再生療法
インプラント治療
セラミック治療
- 治療に伴うリスク
- • 治療期間が長期にわたる場合がある
• 状態によってはすべての歯を保存できない場合がある
• 自費診療のため保険診療に比べ費用負担が大きい







