ラミネートベニア
顎関節と噛み合わせを考慮し、空隙歯列・スリーインサイザルを審美修復で整えた症例
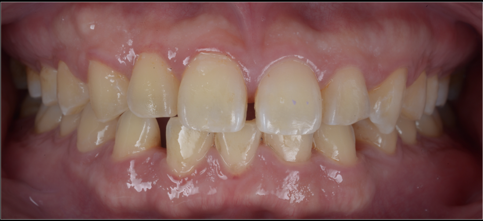
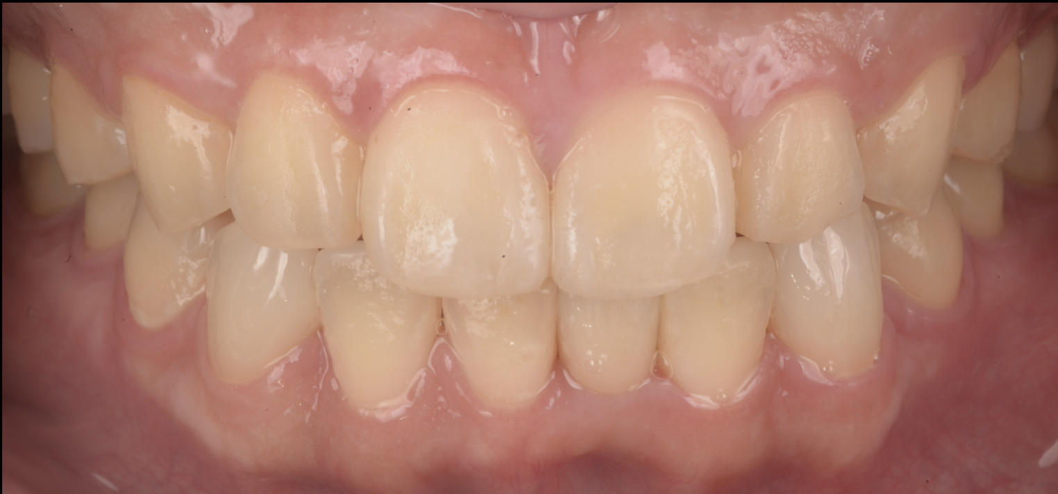
虫歯と歯周病で崩れた前歯・奥歯を、セラミック+リッジオーギュメンテーション+咬合再構成で回復した症例(恵比寿)
- 担当医
- 生野誠
- 主訴
- 虫歯と歯周病で歯がボロボロ。見た目と噛みにくさが気になる。
- 期間
- 12ヶ月
- 費用
- 160万
- 治療内容
- 1)歯周・虫歯のコントロール
補綴治療の前に、歯ぐきの炎症や感染源(虫歯・不良補綴など)を整理し、治療の土台を作りました。
※ここは実際に行った内容に合わせて「TBI/SRP/再評価」など追記できます。
2)右上3欠損:リッジオーギュメンテーション+ブリッジ
欠損部は、ブリッジによる回復を計画。審美性と清掃性、そして補綴の形態を整えるために、**リッジオーギュメンテーション(顎堤増大)**で歯ぐき・土台のボリュームを整えた上で、ブリッジで回復しました。
3)その他:クラウン/ベニアで審美と形態を回復
虫歯・歯質の状態に応じて、セラミックのクラウン・ベニアを使い分け、歯の形と色調、左右差を整えました。
4)咬合再構成(全体の噛み合わせを整える)
「1本ずつ綺麗にする」だけでは、噛み合わせの偏りや過大な負担が残ることがあります。
本症例では全体のバランスを見ながら咬合再構成を行い、見た目と機能の両立、長期安定を目指しました。
- 治療に伴うリスク
- ・ セラミック治療は、噛み合わせや歯ぎしりの影響を受けます。必要に応じてナイトガード等の併用が望ましい場合があります。
• 歯周病は再燃リスクがあるため、メンテナンス(定期管理)が治療結果の安定に重要です。
• リッジオーギュメンテーションは外科処置のため、腫れ・痛み・治癒期間などの説明が必要です(個人差あり)。
[40代女性]被せ物の根元が目立つ[ラミネートベニア]
- 担当医
- 小川雄大
- 主訴
- 歯肉が下がってきた
以前入れた差し歯の根元が目立つ
- 期間
- 3ヶ月
- 費用
- 160万
- 治療内容
- ラミネートベニア
セラミック治療
- 治療に伴うリスク
- セラミックの脱離
[30代女性]すきっ歯と出っ歯を治したい[矯正、ベニア]
【40代男性】前歯を綺麗にしたい【ラミネートベニア】
- 担当医
- 生野誠
- 主訴
- 昔に比べて前歯の形が変わってきた気がする
- 期間
- 3ヶ月
- 費用
- 48万
- 治療内容
- セラミックラミネートベニア
バイトアップ
- 治療に伴うリスク
- セラミックの脱離
【50代男性】歯ぎしりをしている【ラミネートベニア】
- 担当医
- 生野誠
- 主訴
- 詰め物、被せ物がよく取れる
歯ぎしりをしていると言われる
前歯をきれいにしたい
- 期間
- 6ヶ月
- 費用
- 90万
- 治療内容
- ラミネートベニア
- 治療に伴うリスク
- セラミックの脱離











