恵比寿で欠損治療を急ぐ方へ|インプラント希望でも「ブリッジ」が現実的な理由



欠損治療の相談で多いのが、「インプラントでお願いします」というスタートです。
ただ、恵比寿では特に “治療に割ける期間が限られる” 方が少なくありません。仕事の節目、転勤、繁忙期、会食や出張など、生活が先に動くケースが多いからです。
当院では、支台となる歯が生活歯で、歯周病のリスクが高くない場合、インプラントに加えてブリッジ(Br)も同等に検討します。
理由は、短期で「噛める・見た目・清掃性」をまとめて整えやすいからです。
目次
まず結論:ブリッジが強いのは「時間」と「設計の自由度」
ブリッジが活躍するのは、次のような条件が重なるときです。
- 欠損周囲の歯列が崩れ、欠損部だけ直しても噛み合わせが合いにくい
- インプラントのスペースが狭く、形態が不利になりやすい
- 本当は矯正や隣在歯修復までやると理想だが、期間的に難しい
- “歯がない期間”を避けたい(即日仮歯の価値が高い)
今回のケースはまさにこれに該当し、ブリッジの方が現実的な落としどころになりました。
予後の話:ブリッジは10年でも高い生存率が報告されている
ブリッジは「古い治療」という印象を持たれがちですが、従来型ブリッジ(tooth-supported FDP)は、10年で高い生存率が報告されています。
インプラントも生存率は高い一方、補綴的な合併症(修理・調整)が一定割合で起こり得ることも知られています。
要するに、どちらも良い治療で、条件と優先順位で選ぶのが合理的です。
今回ブリッジを選んだ背景:乳歯晩期残存→咬合がじわじわ崩れた
乳歯が長く残ると、周囲の歯は少しずつ環境に適応していきます。
その結果、欠損(あるいは機能不全)の周囲で
- 隣の歯が倒れてくる
- 噛み合う歯が伸びてくる
- スペースが乱れ、欠損以外も噛みにくい
といった“崩れ”が起きます。
患者さんはインプラント希望でしたが、このままインプラントを入れると、
- スペースが狭く、細く長い形態になりやすい
- 歯間乳頭が作りにくい → 詰まりやすく清掃性が不利
- きれいに噛ませるには、部分矯正や隣在歯修復など追加介入が必要
- その分、治療期間が延びる
という見立てになりました。
「理想だけを追えば別の設計もあるが、今の生活に合うのは何か」を整理した結果、ブリッジが最適でした。
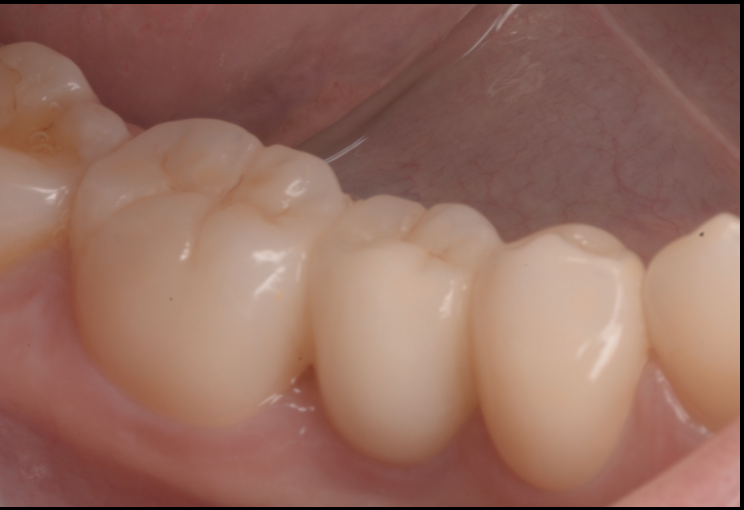
ブリッジの利点:欠損部だけでなく“噛み合わせの再配分”ができる
ブリッジは3歯(支台2本+欠損部)を一体で設計できるため、欠損周囲の当たり方を調整しやすいのが特徴です。
短期で「噛める」を作り、長期的に過負担を分散しやすい。これが今回の症例と噛み合いました。
生活面のメリット:即日仮歯で“空白期間”を作りにくい
欠損は精神的負担になりやすく、会話や食事のストレスにもつながります。
ブリッジは多くのケースで早期に仮歯を入れやすく、生活への影響を抑えやすい治療です。
注意点:ブリッジはトラブル時に“外して治す”ことがある
ブリッジは連結しているため、問題が起きると外して再治療(オーバーホール)になる可能性があります。
初期費用が抑えられても、将来的には同等の費用感になることもあるため、当院では最初の段階から「支台歯を守る設計」を重視します。
当院の工夫:短期で終わらせつつ、長期の安定も取りに行く
- 咬合調整で過負担を減らし、支台歯のリスクを下げる
- プレパレーションガイドで形成量をコントロールし、削りすぎを避ける
- 欠損部の骨・歯肉造成を併用し、清掃性と調和を整える
「短期間で終わる」だけでなく、「終わった後に安定する」方向へ寄せます。
まとめ|恵比寿で欠損治療は“最短で生活に戻す”視点も大切
インプラントが最善になるケースは多くあります。
ただ、スペースや清掃性、治療期間の制約があるとき、支台歯が健康ならブリッジが合理的なこともあります。
当院では、インプラントとブリッジをフラットに比較し、ライフスタイルに合う治療を提案します。
「インプラントで行けるか」「ブリッジの方が整うか」は状態次第です。
恵比寿で欠損治療を急ぎたい方も、長期の安定まで含めて一緒に整理します。
参考文献
- Tan K, Pjetursson BE, Lang NP, Chan ESY. A systematic review… III. Conventional FPDs. Clin Oral Implants Res. 2004.
- Pjetursson BE, Brägger U, Lang NP, Zwahlen M. Comparison of survival and complication rates… Clin Oral Implants Res. 2007.




