恵比寿で「歯の移植(自家歯牙移植)」という選択肢|親知らずを“噛める歯”に変える治療

奥歯を失ったとき、「インプラントが第一選択」と言われることは多いと思います。もちろんインプラントは優れた治療ですが、条件が合えば“もう一つの有力な選択肢”があります。
それが 歯の移植(自家歯牙移植) です。
自家歯牙移植とは、たとえば親知らずなど現在使っていない歯を、抜歯した部位・欠損部位へ移して機能させる治療。古くからある方法ですが、近年はCTによる精密診断や、3Dレプリカ(ドナー歯模型)の活用など、デジタルの進歩が加わり「成功率を上げやすい環境」が整ってきました。
本記事では、恵比寿で治療を検討される方に向けて、
- なぜ今、移植が再注目されているのか
- 移植最大の価値「歯根膜」とは何か
- 長期的に注意すべきリスク(歯根吸収・アンキローシス)
- リスクを下げるために重要な“口腔外時間”と“適合”
- CT×3Dレプリカで何が変わるのか
- 移植後に「歯を守る治療」をどう組み合わせるか
を整理してお伝えします。
目次
歯の移植(自家歯牙移植)とは?|人工物ではなく“自分の歯”で噛む

歯の移植は、同じ方の別の歯を移し替える治療です。よく使われるドナー歯(移植に使う歯)は親知らずですが、ケースによっては小臼歯などが候補になることもあります。
インプラントと違うのは、移植歯には歯根膜(しこんまく)という組織が存在し得る点。ここが、移植が「単なる代用品」ではなく、長期的な口腔環境において独特の価値を持つ理由です。
最大のメリットは“歯根膜”|噛む感覚・骨の反応が自然に近づく
歯根膜は、歯の根と骨の間にある薄い膜で、歯を支えるだけでなく、次のような重要な働きをしています。
- 噛む力を緩衝し、過剰な負担を避ける
- 噛んだ感覚(固有感覚)を脳へ伝える
- 周囲の骨・歯ぐきと相互作用し、生理的な適応を起こす
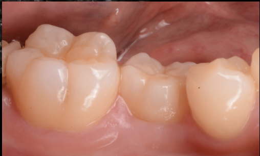
移植が成功し歯根膜が生き残ると、“自分の歯としての挙動”が期待でき、噛み心地や周囲組織の反応が自然に近づきます。
そしてここが、当院が強調したいポイントです。
移植がうまくいけば、その歯は 再び「歯を残す治療」の対象 になります。
- 精密根管治療で感染をコントロールする
- 矯正で位置や咬合を整える
- 歯周外科や再生療法で支持組織を整える
- セラミック等で形態と清掃性を回復する
インプラントとは別ルートで、保存・再建の選択肢を持てることが、移植の大きな魅力です。
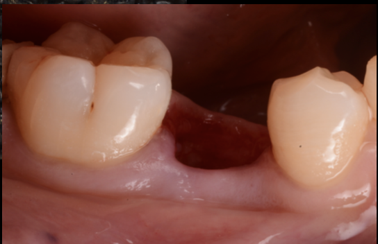
移植のリスク(長期的):歯根吸収・アンキローシス
一方で、移植には移植ならではのリスクがあります。代表的なのが
- 歯根吸収(根が少しずつ吸収される)
- アンキローシス(歯が骨と癒着し、歯根膜が失われる)
移植歯の長期予後を考えるうえで、この2つは避けて通れません。
そして両者に共通して関係するのが、歯根膜の損傷です。
成否を分ける要点:歯根膜を傷つけない“時間”と“適合”
移植が難しい理由は、「抜いて入れる」ことよりも、実は
- 移植歯が口の外に出ている時間(口腔外時間)
- 移植床(受け入れ側)への適合のための試適回数
- その過程で歯根膜が機械的に損傷すること
この3点にあります。
特に臨床で起こりがちなのが、次の問題です。
移植歯の歯根は形が複雑で、インプラントより大きいことも多い。
そのため、欠損部位にピタッと合わせるために移植床を調整する必要があり、ここに時間がかかることがあります。
すると何が起こるか。
- 試適回数が増える
- 口腔外時間が延びる
- 歯根膜が乾燥・損傷しやすくなる→ 結果として、歯根吸収・アンキローシスのリスクが上がる
Andreasen(アンドレアセン)らの基礎研究では、口腔外時間(条件下での時間)が歯周治癒に影響することが示されており、「短く、湿潤を保ち、触りすぎない」が原則になります。
だから今、移植が再注目される:CT×3Dレプリカで“適合時間”を短縮できる








ここで登場するのが、現代的な移植の鍵となる
- CTでドナー歯の形態を把握
- 3Dレプリカ(ドナー歯模型)を作成
- レプリカで移植床を事前に形成し、実歯の試適を最小化する
という流れです。
このアプローチのメリットは明確です。
1)実歯を抜いた後の「迷い」が減る
レプリカで移植床を仕上げておけるため、実歯の出し入れが減り、歯根膜を守りやすくなります。
2)口腔外時間を短縮できる
歯根膜にとって最大の敵は“時間と乾燥”。
適合時間が短いほど、歯根膜が生き残りやすい条件が整います。
3)結果として、長期リスクの確率を下げる方向へ
もちろん万能ではありませんが、「移植で最も傷つきやすい工程」をデジタルで補強できる点が、再注目の大きな理由です。
当院(恵比寿)が大切にしている考え:移植は“スタートライン”
移植は、欠損を埋めたら終わりではありません。
むしろ成功した移植歯は、「ここから歯を守り直せる」状態になります。
恵比寿では、忙しい方が多く、
- 痛みを繰り返したくない
- なるべくやり直しを避けたい
- 長期的に安定する設計で治したいというニーズが強いと感じます。
当院では、移植単体ではなく、移植後の予後を伸ばすために必要に応じて
- 精密根管治療:感染源を徹底的に制御
- 咬合設計・矯正:過度な負担を避け、長期安定へ
- 歯周外科/再生療法:支持組織の環境を整える
- 審美修復(セラミック等):形態・清掃性・適合を追い込む
- メンテナンス:炎症を起こさない管理
を組み合わせて、「歯を残すための総合設計」を行います。
治療の流れ(一般的なイメージ)
- 診査・診断(CT撮影、ドナー歯と移植床の評価)
- 治療計画(咬合・固定・術後の根管/補綴の方針まで)
- 必要に応じて3Dレプリカ作成
- 移植床形成(レプリカで適合を追い込む)
- ドナー歯の抜歯→移植(口腔外時間を最短へ)
- 固定・咬合調整
- 経過観察+必要治療(根管治療、最終補綴、歯周管理)
※歯の状態や根の完成度、感染の有無などで手順は調整します。
よくある質問(恵比寿で相談される方へ)
Q1. 親知らずがあれば移植できますか?
親知らずがあっても、根の形やサイズ、欠損部の骨形態、噛み合わせ条件などで適応が変わります。まずはCTで評価します。
Q2. 移植の痛みや腫れは強いですか?
外科処置のため個人差はありますが、計画的な手技と術後管理で負担を減らすことを目指します。
Q3. 移植はどのくらい長持ちしますか?
条件が整い歯根膜が守られれば良好に経過する可能性があります。一方で歯根吸収・アンキローシスなど長期リスクの管理が重要です。
Q4. CT×3Dレプリカは必須ですか?
必須ではありませんが、「適合にかかる時間と試適回数」を減らす目的で有効な場合があります。症例によりご提案します。
まとめ|恵比寿で“インプラント以外”を検討するなら、移植は価値のある選択肢
歯の移植(自家歯牙移植)は、
- 成功すれば“自分の歯”として噛める
- 歯根膜という生体組織が残る可能性がある
- その後も根管・矯正・再生・審美修復など「歯を残す治療」に戻れる
という独自のメリットがあります。
一方で、歯根吸収・アンキローシスなどの長期リスクがあり、
そのリスクを下げる鍵が 口腔外時間の短縮と歯根膜損傷の最小化。
だからこそ、CT診断と必要に応じた3Dレプリカを用いた計画が、現代の移植で重要になります。
恵比寿で「抜歯と言われた」「インプラント以外の選択肢も知りたい」「親知らずを活かせないか」などお悩みの方は、まずは精密診断からご相談ください。




