恵比寿で開咬(前歯が噛まない)にお悩みの方へ|原因・リスク・治療法と8020運動
「前歯で噛み切れない」「奥歯だけ当たって前歯が浮いている」「口が閉じにくい」――このようなお悩みは、*開咬(かいこう)の可能性があります。
開咬は見た目の問題だけでなく、むし歯・歯周病のリスク上昇、奥歯への過負担、顎関節や筋肉の不調、発音や咀嚼の効率低下など、長期的なトラブルにつながりやすい噛み合わせです。
そして、歯科の有名な目標に「8020運動(80歳で20本の歯を残そう)」があります。開咬を放置すると、特定の歯に負担が集中して歯を失うリスクが高まり、8020の達成が遠のくことがあります。
この記事では、恵比寿で開咬治療を検討している方向けに、原因・放置リスク・治療選択肢・再発予防をわかりやすくまとめます。
目次
開咬とは?|「前歯が当たらない」噛み合わせ

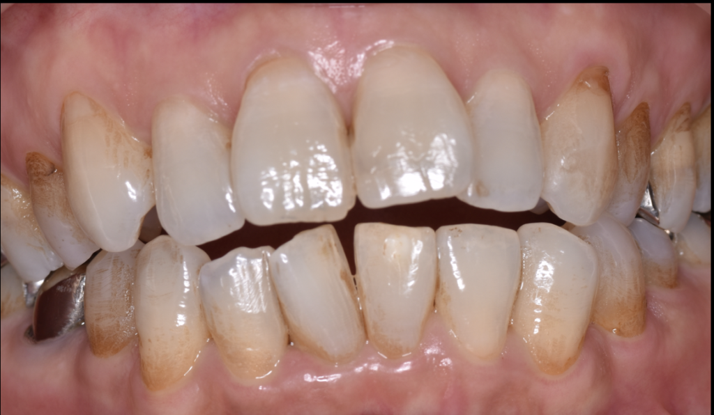
開咬とは、噛んだときに上下の前歯が接触せず隙間ができる状態を指します。軽度〜重度まで幅があり、見た目では気づきにくいケースもあります。
開咬でよくある症状
- 前歯で食べ物(麺・葉物・肉など)を噛み切れない
- 奥歯だけで噛む癖がある
- 口が閉じづらい/口呼吸になりやすい
- 発音(サ行・タ行など)が不明瞭になりやすい
- 前歯で噛まない分、奥歯がすり減る/しみる
- 詰め物・被せ物が外れやすい、欠けやすい
開咬の原因|「歯並び」だけではなく習癖・骨格・呼吸も関係
開咬は「歯が傾いている」だけで起きることもありますが、実際には複数の要因が絡むことが少なくありません。
1) 習癖(癖)によるもの:舌・指しゃぶり・口呼吸
- 舌突出癖(ぜつとっしゅつへき):飲み込むときに舌が前歯を押す
- 低位舌(舌の位置が常に低い)
- 指しゃぶり、唇を噛む癖、爪を噛む癖
- 口呼吸:口が開きやすく、舌や唇の力のバランスが崩れやすい
習癖は、矯正で歯を並べても再発(後戻り)の大きな原因になりえます。治療では“歯を動かす”だけでなく、原因のコントロールが重要です。
2) 骨格(顎の形)によるもの
上下顎の成長バランスや顔貌の特徴(縦方向の成長が強い等)が関与し、歯だけでなく顎全体として前歯が当たりにくい場合があります。
骨格性が強いと、矯正単独よりも外科矯正を含めた検討が必要になることもあります。
3) 奥歯の支持(噛む土台)が弱い
奥歯のむし歯・歯周病・欠損(抜歯放置など)で、噛み合わせの“支え”が不安定になると、噛む位置がズレて開咬が目立つことがあります。
この場合は、矯正だけでなく補綴(被せ物・ブリッジ・インプラントなど)を含めた包括的な設計が必要です。
放置するとどうなる?|開咬が8020運動の妨げになりやすい理由
開咬は痛みが少ないため放置されがちですが、長期的には「歯を守る」という観点で不利になりやすい噛み合わせです。
1) 奥歯のすり減り・破折が起きやすい
前歯が当たらないと、噛む力の多くが奥歯に集中します。
その結果、歯の摩耗(咬耗)・詰め物の破損・歯の亀裂(クラック)などが起きやすくなります。
2) むし歯・歯周病のリスクが上がることがある
噛み合わせが不安定だと、清掃性が落ちたり、特定の歯に負担が集中して歯周組織がダメージを受けたりしやすくなります。
「歯を残す」ためには、負担を分散できる咬合(噛み合わせ)が大切です。
3) 発音・咀嚼効率・消化への影響
前歯で噛み切れないと丸呑みになりやすく、咀嚼回数が減ります。
咀嚼は消化だけでなく、唾液分泌・口腔内自浄作用にも関わるため、長期的には口腔環境に影響することがあります。
4) 8020運動の観点:歯を失いにくい口は「噛み合わせの設計」が要
8020運動は「残った歯の本数」だけでなく、残すための要素――
- むし歯・歯周病のコントロール
- 生活習慣(喫煙、食習慣、セルフケア)
- 噛み合わせの安定が揃って初めて達成しやすくなります。開咬は、放置すると“一部の歯に負担が集中しやすい”という点で、長期予後に影響しやすい噛み合わせです。
開咬の治療法|矯正だけ?手術?被せ物?「原因」と「重症度」で変わります

開咬治療は大きく、(1)矯正、(2)原因療法(習癖・呼吸・舌)、(3)外科、(4)補綴(被せ物等)の組み合わせで考えます。
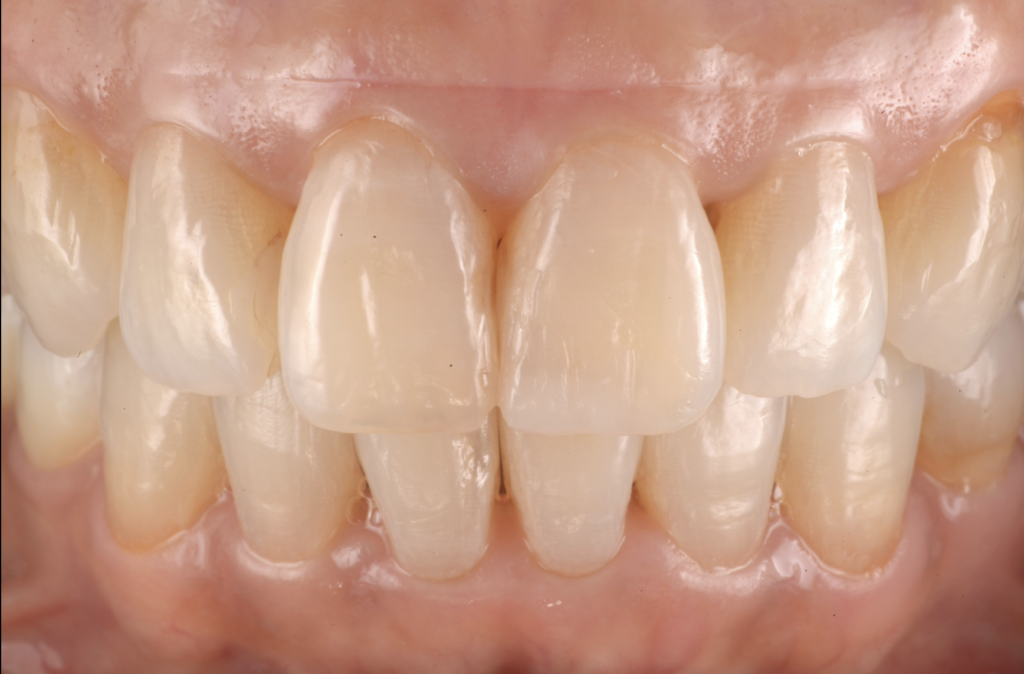
1) 矯正治療(ワイヤー矯正/マウスピース矯正)
開咬の基本は矯正です。
- 歯の傾きや位置を整え、前歯が噛むようにする
- 奥歯の高さや噛み合わせ平面を調整して、全体の咬合バランスを作る
ポイント:開咬は「ただ並べる」だけでは安定しづらいことがあり、治療計画の設計力が結果に直結します。
2) アンカースクリュー(TAD)などで奥歯の位置をコントロール
開咬では、奥歯の挺出(のび)や位置が関与することがあります。必要に応じて固定源(アンカー)を活用し、歯の動きを精密にコントロールします。
※適応は診査・診断で決まります。
3) 舌・口唇・呼吸のトレーニング(MFT:口腔筋機能療法)
開咬の再発原因として多いのが、舌突出癖/口呼吸/低位舌です。
矯正で歯が動いても、舌が常に前歯を押していれば再び開いてきます。
そのため、必要に応じて舌の位置・飲み込み方・口唇閉鎖のトレーニングを組み合わせます。
4) 外科矯正(骨格性が強い場合)
骨格的要因が大きい場合、矯正単独だと限界があったり、後戻りしやすかったりすることがあります。
その場合は、矯正医・口腔外科などと連携し、外科矯正を選択肢として検討します。
(適応は精密検査と診断が必要です。)
5) 補綴(被せ物・詰め物)で整えるケース(軽度/形態不良/欠損が絡む場合)
軽度の開咬や、歯の形態・欠損が影響している場合、矯正だけでなく補綴的な噛み合わせ再構成が必要になることがあります。
ただし、被せ物で“無理に噛ませる”のは歯に負担をかけることもあるため、咬合設計を慎重に行います。
大人の開咬は治る?|成人でも改善は可能、ただし「安定」にはコツがある
成人の開咬治療は十分可能です。
一方で、成長期と比べて骨格の可塑性が小さいため、治療計画では
- どこまで矯正で改善するか
- 外科を検討するか
- 習癖をどう修正するか
- 保定(リテーナー)とメインテナンスをどう設計するかが重要です。
後戻りを防ぐために大切なこと
- 舌の癖・口呼吸・姿勢など、原因の是正
- 保定装置(リテーナー)の適切な使用
- 歯周病・むし歯の管理(炎症があると歯は動きやすくなります)
- 咬合の微調整と定期管理
当院(恵比寿)での開咬治療の流れ|「原因を探して、安定まで設計する」
開咬は“見た目を整える”だけで終わると再発しやすいことがあります。
恵比寿で開咬治療を検討する方に向けて、当院では次の流れで進めます(一般的な例です)。
1) カウンセリング
- 何が一番困っているか(見た目/噛みにくさ/発音/顎の違和感など)
- いつから気になっているか
- 生活習慣(口呼吸、舌癖、睡眠、姿勢)
2) 精密検査
- 口腔内検査、歯周検査
- レントゲンや必要に応じた3D評価
- かみ合わせ・顎運動の評価
- むし歯や欠損、修復物の状態確認
3) 治療計画の提示
- 矯正の方法(ワイヤー/マウスピース等)
- 必要ならアンカーやMFT
- 歯周病・補綴・欠損治療を含む場合の段取り
- 期間と通院頻度の目安、注意点(後戻り対策)
4) 治療・メインテナンス
治療中も歯周管理・クリーニングを組み合わせることで、8020を見据えた長期管理につなげます。
セルフチェック|「開咬かも?」と思ったら
- 奥歯を噛んでも前歯が当たらない
- 前歯で麺や葉物が噛み切れない
- 口が開きやすく、口呼吸が多い
- いつも舌が前に出る/歯を押している気がする
- 奥歯のすり減りや欠けが増えた
- 発音が気になる(サ行・タ行)
1つでも当てはまれば、早めの相談がおすすめです。軽度のうちほど、選べる治療法が増え、歯への負担も抑えやすい傾向があります。
よくある質問(FAQ)
Q1. 開咬は自然に治りますか?
成長期の一部では改善するケースもありますが、習癖や骨格要因があると自然改善しにくいことがあります。原因を見極めることが大切です。
Q2. マウスピース矯正でも開咬は治せますか?
ケースによります。軽度〜中等度で適応になることもありますが、歯の動きや固定源の設計が必要なこともあるため、精密検査で判断します。
Q3. 開咬治療はどのくらい期間がかかりますか?
重症度・方法・併用治療の有無で変わります。矯正は一般に年単位になることが多く、終了後も保定(リテーナー)で安定を図ります。
Q4. 後戻りが心配です…
開咬は後戻りしやすい噛み合わせのひとつです。舌癖・口呼吸などの原因対策、保定装置の使用、定期管理をセットで考えるのが重要です。
Q5. 8020運動と開咬は関係ありますか?
あります。開咬で奥歯に負担が集中すると、すり減り・破折・歯周負担が起こりやすく、長期的に歯を失うリスクが上がることがあります。噛み合わせを整えることは、8020の土台づくりに役立ちます。
まとめ|開咬は「見た目」だけでなく「歯を守る治療」。8020を見据えて早めに対策を
開咬は、前歯が噛まないという見た目の悩みにとどまらず、奥歯への過負担や清掃性の問題から、歯を失うリスクに関わることがあります。
8020運動の視点でも、歯を残すためにはむし歯・歯周病の管理+噛み合わせの安定が重要です。
恵比寿で「前歯が噛まない」「噛みにくい」「口が閉じづらい」などのお悩みがある方は、まずは現状の評価から。原因に合わせた治療計画をご提案します。






