恵比寿で虫歯治療をご検討の方へ|“気軽な治療”に見えて、実は最も難しい処置のひとつです
虫歯治療は身近でも、実は硬組織の感染症で進行性。感染除去、歯髄保護、強度設計、接着・隔離環境まで考える精密治療の重要性を恵比寿の歯科が症例で解説。
目次
- 1 はじめに|「虫歯は削って詰めるだけ」…本当にそれで終わっていますか?
- 2 虫歯は“硬組織の感染症”|免疫が弱いから進み続ける
- 3 「感染を取る」こと自体が難しい|拡大して、触って、染めて、を何度も繰り返す
- 4 虫歯治療は「削る」だけではない|歯髄を守り、歯の強度を守る
- 5 修復のデザインは“残った形”だけで決まらない|噛み合わせと歯質温存を含めて設計する
- 6 接着は「理科実験」|時間と環境が揃わないと、成功率は落ちる
- 7 【今回の症例から】「詰めてあるのに、実は中で虫歯が進んでいた」
- 8 虫歯治療の質を左右するチェックポイント|恵比寿で歯医者を選ぶときに
- 9 よくある質問(FAQ)
- 10 まとめ|虫歯治療は“安く気軽な処置”ではなく、歯を守るための精密医療
はじめに|「虫歯は削って詰めるだけ」…本当にそれで終わっていますか?


虫歯治療は、歯科医療の中でも最も身近で、日常的に行われている処置です。
だからこそ、患者さん側も、時に歯科医療側も、どこかで「気軽な治療」「短時間で終わるもの」というイメージが先行しやすい分野でもあります。
しかし、私たちが日々向き合っている虫歯は、単なる“穴”ではありません。
虫歯は本質的に硬組織(エナメル質・象牙質)に起きる感染症であり、体の軟組織の感染と違って、免疫が届きにくい構造を持っています。免疫が効きにくいからこそ、条件が揃えばどこまでも進行し、気づいた時には歯の土台が大きく失われていることもあります。
そして何より、虫歯治療は「感染を取る」「歯を守る」「噛めるようにする」「再発させない」――この全部を同時に成立させなければならない、非常に難易度の高い治療です。
今回は、恵比寿の歯科医院として、虫歯治療の本当の難しさと、治療の質を左右するポイント、そして再治療で歯を大きく失ってしまった症例から学べることをお伝えします。
虫歯は“硬組織の感染症”|免疫が弱いから進み続ける
虫歯菌(細菌)による酸で歯が溶ける――という説明は一般的ですが、臨床ではそれだけでは語り尽くせません。
虫歯の怖さは、硬組織の内部に細菌が侵入し、増殖できてしまうことにあります。
エナメル質は非常に硬く、初期では痛みが出にくい。
象牙質はエナメル質より柔らかく、感染が進むと“内部で広がりやすい”。
さらに歯髄(神経)に近づけば、痛み・炎症・神経のダメージにつながります。
体の皮膚や筋肉の感染なら血流が届き、免疫が働き、抗生剤も効きやすい。
ところが歯の硬組織は、その構造上、軟組織ほど免疫の手が届きません。
だからこそ虫歯は、条件が揃えば静かに、しかし確実に進行します。
「感染を取る」こと自体が難しい|拡大して、触って、染めて、を何度も繰り返す

虫歯治療で最も基本であり最も難しいのが、感染を適切に取り切ることです。
ここで大事なのは、“削る量”ではなく、感染部位を正確に見極める精度です。
拡大視野で「見て」初めてわかるものがある
裸眼では、虫歯の境界は見えにくいことが少なくありません。
暗い口腔内で、唾液や呼気の湿気があり、しかも歯の色調は個人差がある。
そこに既存の詰め物・着色・クラックが重なると、難易度はさらに上がります。
だからこそ私たちは、必要に応じて拡大視野(ルーペ/マイクロスコープ等)で観察し、わずかな変化や境界を読み取ります。
「触って」硬さを確かめる
虫歯は“色”だけでは判断できません。
感染象牙質は、触ると柔らかく、独特の感触があります。一方で、脱灰や染色があっても硬い象牙質もあります。
見た目に惑わされず、触知で判断する工程が不可欠です。
「染めて」客観情報を追加する
必要に応じてう蝕検知液(カリエスディテクター)などを用い、主観だけに頼らない判断材料を増やします。
ただし、染めれば“全部削っていい”わけではありません。
染色と硬さ、位置(歯髄までの距離)、残せる歯質、強度設計――複数要素を統合して決める必要があります。
結論として、感染のコントロールは
「拡大して見る → 触って確かめる → 染めて確認する」
この工程を何度も往復しながら進めることが多く、10分やそこらで完結できる単純作業ではありません。
虫歯治療は「削る」だけではない|歯髄を守り、歯の強度を守る
虫歯を取ることに集中しすぎると、別の問題が起きます。
それが、歯髄(神経)へのダメージと、歯の構造的強度の低下です。
歯髄は“生きた臓器”|守れた歯は長持ちしやすい
歯髄は痛みを感じるだけではなく、歯に栄養を供給し、防御反応にも関わります。
神経を残せた歯は、条件が整えば長く機能しやすい。
一方で、歯髄に近い深い虫歯では、感染除去と歯髄保護のバランスが非常に繊細です。
「必要に応じて虫歯を残す」という選択があり得る
ここが誤解されやすい点ですが、深い虫歯で、すべてを一度に取り切ろうとすると、歯髄を露出させ、結果として神経を失う可能性が高まることがあります。
そのため症例によっては、歯髄を守る目的で、選択的う蝕除去(段階的・選択的に感染象牙質をコントロールする)の考え方が検討されます。
もちろん「残せば良い」わけではありません。
重要なのは、封鎖(密閉)と環境管理が成立すること、そして経過観察と再評価ができることです。
クラック・脱灰・残存歯質|“削り方”で未来が変わる
同じ大きさの虫歯でも、削り方次第で歯の寿命は変わります。
クラックがある歯、エナメル質の支持が弱い歯、脱灰が広い歯では、単純な窩洞形成では破折リスクが上がります。
だからこそ、削る前から削った後まで、構造を読んで、残す歯質を決め、補強設計を考える必要があります。
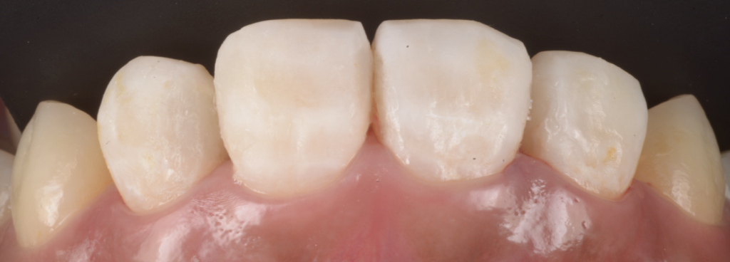
修復のデザインは“残った形”だけで決まらない|噛み合わせと歯質温存を含めて設計する
虫歯を取った後、次に待っているのは「詰める(修復する)」工程です。
ここも、単なる穴埋めではありません。
噛み合わせ(咬合)の力学を無視できない
歯は、噛む力を毎日何千回も受けます。
力の方向、当たり方、歯ぎしり・食いしばりの有無、対合歯の状態――これらで修復物の寿命は大きく変わります。
例えば、奥歯の咬頭(山)付近に大きく及ぶ虫歯は、詰め方次第で割れやすさが変わります。
「残った歯質に合わせてとりあえず詰める」ではなく、どの歯質をどのように補強し、どこに力を逃がすかまで考える必要があります。
“見る時間”が必要な理由|拡大視野で境界を読み切る
接着修復は、境界(マージン)の品質が寿命を左右します。
境界が不明瞭なまま詰めると、微小漏洩(マイクロリーケージ)を招き、着色や二次う蝕の温床になります。
だからこそ、拡大視野で、歯質と修復物の接点を丁寧に整え、確認する時間が必要です。
接着は「理科実験」|時間と環境が揃わないと、成功率は落ちる
コンポジットレジン(CR)などの接着修復は、非常に優れた治療です。
しかしそれは、条件が揃った時に限って最大限の力を発揮します。
象牙質は“体内組織”|細菌を入れないことが最優先
象牙質はコラーゲンや水分を含み、エナメル質と性質が違います。
そこに唾液や呼気で湿潤・汚染が起きれば、接着は不安定になりやすい。
さらに、象牙質に新たな細菌が入り込めば、再発リスクは上がります。
だからこそ、必要に応じてラバーダム防湿などを用いて、
- 唾液汚染を防ぐ
- 視野を確保する
- 接着操作を安定させる
- “細菌を入れない”環境を作ることが重要になります。
接着面積を稼ぎ、確実に密閉する
接着は「どこに、どれだけ、どう接着させるか」で結果が変わります。
適切な前処理(エッチング・プライミング・ボンディング)と、十分な接着面、マージンの整形が合わさって初めて、密閉が成立します。
密閉ができれば、残存細菌の活動を抑え、進行を抑制しやすくなります。
重合収縮と硬化の工夫|理科の実験と同じで“条件”が大事
レジンは硬化の際に重合収縮が起きます。
この収縮ストレスをどうコントロールするかは、二次う蝕や辺縁破壊のリスクと関係します。
そのため臨床では、充填の方法(積層充填など)や、光照射の当て方、材料選択などを工夫しながら進めます。
ここはまさに、理科の実験と同じです。
化学反応は、時間と環境が揃って初めて安定した結果が得られる。
短時間で流れ作業のように行えば、成功率が落ちやすい要素が確かにあります。
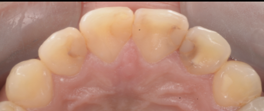
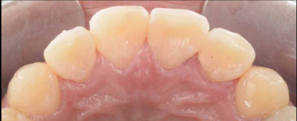
【今回の症例から】「詰めてあるのに、実は中で虫歯が進んでいた」


今回お伝えしたいのは、ここです。
患者さんは「詰め物が入っているから大丈夫」と思っていた。
見た目にも大きな痛みはない。
ただ、よく見ると着色が目立つ、そして詰め物が浮いているように見える。
そこで再治療のために詰め物を外してみると――
- 修復物の下で、虫歯が広がっていた
- 歯質が想像以上に脆く、削ると崩れる
- 結果として、当初の予想よりも歯の大半を失う形になってしまった
このケースは決して珍しくありません。
接着が破綻したところから微小漏洩が起き、そこに細菌が入り、見えない場所で増殖してしまう。
そして気づいた時には、表面の変色よりもずっと深部で病変が進行している――。
「保険で安く気軽にやっている処置だから」という問題ではなく、
虫歯治療という行為そのものが、実は非常に繊細で難しいのです。
“詰めた=治った”ではなく、
詰めた後にこそ、再発させない条件(密閉・咬合・管理)が必要だということを、症例は教えてくれます。
虫歯治療の質を左右するチェックポイント|恵比寿で歯医者を選ぶときに
もし「どこで虫歯治療を受けるべきか」と迷ったら、次の視点が参考になります。
1)きちんと診断しているか(写真・レントゲン・説明)
虫歯の範囲やリスクを評価し、納得できる説明があるか。
2)視野と環境に配慮しているか(拡大視野・防湿)
“見える状態”と“汚染を避ける環境”を作れているか。
3)歯髄保護と歯質温存の考えがあるか
深い虫歯で、ただ削るのではなく、歯の将来を考えた選択肢が提示されるか。
4)噛み合わせまで含めて設計しているか
詰め物の形は、見た目だけでなく力学が重要です。
5)治療後の管理(メインテナンス)まで含めているか
再発を防ぐには、治療だけでなく定期管理が欠かせません。
よくある質問(FAQ)
Q1. 虫歯治療は短時間でもできますか?
小さな虫歯は短時間で対応できることもありますが、感染の範囲確認・歯髄保護・接着操作など、条件次第で必要時間は増えます。治療の質に関わる工程は省略しにくいことがあります。
Q2. 「削って詰めたのに」また虫歯になるのはなぜ?
境界の微小漏洩、噛み合わせの負担、清掃性、唾液汚染など、複数要因が重なって二次う蝕が起こることがあります。密閉と管理が重要です。
Q3. ラバーダムは必ず必要ですか?
症例によります。ただ、唾液汚染のリスクが高い部位や、接着の成功率を上げたい状況では有効な選択肢です。
Q4. 深い虫歯で「虫歯を残す」ことがあるのはなぜ?
歯髄を守る目的で、感染コントロールと封鎖(密閉)を成立させながら段階的に進める考え方が検討されることがあります。適応は診断で決まります。
Q5. 保険治療と自費治療で何が変わりますか?
制度の違いにより、材料や工程の選択肢が変わる場合があります。ただし重要なのは、どの治療でも「診断」「視野」「隔離」「設計」「管理」の質が予後に影響する点です。
まとめ|虫歯治療は“安く気軽な処置”ではなく、歯を守るための精密医療
虫歯治療は、日常的に行われるからこそ軽視されやすい。
しかし本質は、硬組織の感染症に対する精密な医療行為であり、
- 感染の見極めと除去
- 歯髄の保護
- 歯の強度設計
- 咬合(噛み合わせ)を踏まえた修復デザイン
- 防湿と接着の科学
- 再発させない密閉と管理これらを同時に成立させる必要があります。
「詰めたのに中で増殖していた」――今回の症例は、虫歯治療の難しさを端的に示しています。
恵比寿で虫歯治療をご検討の方は、ぜひ“治療の中身”に目を向けてみてください。
私たちは、歯を守り、将来の再治療リスクを下げることを目標に、丁寧に治療計画を立てていきます。




