【恵比寿院】この歯残せる?シリーズ②
抜歯と言われた歯を“外科なし”で守り抜く|精密根管治療・補綴・咬合設計で保存した症例






はじめに|「抜歯と診断された歯、本当に残せないの?」
恵比寿には、他院で「これは抜歯しかないですね」と診断された後、どうしても歯を残したいと切実な思いで来院される患者様が多くいらっしゃいます。
特に、
・ 残根状態
・ 歯冠崩壊
・ 亀裂疑い
・ 深い虫歯
・ 何度も被せ物が外れる
といった状況では、一般的な歯科医院では抜歯→インプラントを提示されることが一般的です。
しかし、 “診断が変われば、歯の未来も変わる” のが歯科治療の世界です。
今回ご紹介するのは、
他院で「残根で保存不可」「亀裂があり抜歯しかない」と診断された歯を、当院で外科処置なしで保存し、機能回復した症例です。
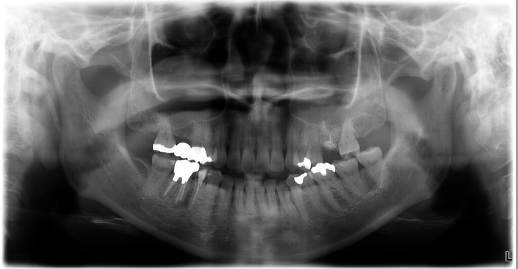
症例|残根・亀裂疑いで抜歯宣告された奥歯
初診時の状態は以下の通りでした。
- 広範囲の二次カリエスで残根状態
- 咬合面の高さが低く保持力が不足
- レントゲンに亀裂を疑う像
- 歯肉の発赤・腫脹
- 何度も被せ物が脱離している既往
- 噛むと痛む
一般的には、
「保存は難しいですね。抜歯してインプラントが確実です。」
と説明されやすい状態です。
しかし、恵比寿院ではマイクロスコープ診断+歯質の評価+咬合の分析により、保存の可能性があると判断しました。
恵比寿院の治療方針|外科に頼らず歯を残す
今回の症例では、
歯周外科・再生療法・歯肉剥離などの外科処置は一切行っていません。
歯を残すために必要だったのは、
・ 精密根管治療
・ バーティカルプレパレーション(垂直的支台歯形成)
・ 歯肉の軟組織コントロール
・ 咬合(噛み合わせ)の是正
の4つです。
特に、
「バーティカルプレパレーション+歯肉コントロール」
は、歯周外科を行わずに歯肉ラインを整えるうえで非常に重要な技術です。
治療の流れ(詳細)
①精密根管治療—マイクロスコープ下で感染源を徹底除去
まずラバーダム防湿を行い、マイクロスコープ(歯科用顕微鏡)を使用し、
- 残根内部の感染除去
- 亀裂の有無の確認
- 根管形態の正確な把握
- 歯質強度の評価を行いました。
最も重要なのは、
破折(歯根破折)なのか、深い虫歯なのかを見極めること。
拡大視野で慎重に精査した結果、
・致命的な破折はなし
・歯質は薄いが補強可能
・根尖部の感染はコントロールできる
という結論に至りました。
ここで「抜歯」と診断されるかどうかが大きく変わります。
②バーティカルプレパレーション(垂直的支台歯形成)
残根状態は「歯の高さがない」ため、従来の形成では被せ物の保持力が弱くなります。
そこで採用したのが
バーティカルプレパレーション
という特殊な支台歯形成技術。
これにより、
- 歯質を可能な限り温存
- 適合精度の高い補綴物が作れる
- 歯肉に優しく、自然に歯肉ラインを整えられる
- 清掃性が高く、長期的な安定に寄与といったメリットが得られます。
特に今回は、外科を行わずに歯肉を整える必要があったため、非常に重要なステップでした。
③歯肉の軟組織コントロール(オペなし)
外科をしない代わりに、
- 丁寧な歯肉圧排
- 補綴物の形態設計
- 歯肉と補綴物の境界のコントロールにより、歯肉が自然に健康なポジションへ落ち着く環境 を作ります。
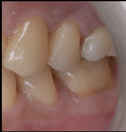
これにより、術後の写真でも歯肉が綺麗に整い、審美性が大きく改善しました。
④咬合(噛み合わせ)の是正
破折疑い・残根の歯に過度な咬合力は禁物です。
恵比寿院では、
- 咬合平面の見直し
- 上下の当たりの調整
- 側方運動の干渉を除去を行い、一点に強い力が集中しない噛み合わせ を作りました。
これにより、補綴物の長期的安定が期待できます。
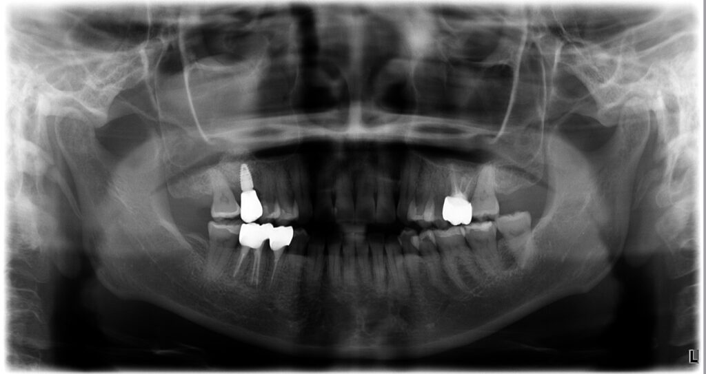
治療後の状態
治療後には、以下のような改善が見られました。
・ 痛み・腫れの消失
・ レントゲンで透過像が縮小し骨の回復
・ 歯肉が自然で健康的なラインに
・ セラミッククラウンが自然に適合
・ 咬合が安定し噛みやすくなる
外科なしでここまで改善できるのは、
根管治療・補綴・咬合の3つを総合的に設計しているからこそ です。
本当に抜歯しかないの?
恵比寿院には毎月、
「抜歯と言われたけれど残せますか?」
という相談が多数寄せられます。
今回のように、
- 残根
- 亀裂疑い
- 歯冠崩壊
- 何度も外れる歯であっても、“診断と治療技術が変われば、残せる可能性は十分にあります”。
もちろん、すべての歯が保存できるわけではありませんが、
「最初から抜歯が前提の診断」ではなく、残すための診断が必要です。
まとめ|恵比寿院は「可能性を最後まで探す歯科」です
今回の症例は
外科なしで歯を残したい
という患者様の希望に寄り添い、技術と診断で応えられたケースでした。
✔ 他院で抜歯宣告された
✔ インプラントを避けたい
✔ なんとか自分の歯を残したい
✔ 残根でも相談したい
✔ 亀裂があると言われた
このような場合は、ぜひ一度ご相談ください。
恵比寿院は、
「できるだけ歯を残す」
「精密な治療で長期安定へ導く」
ことを理念に、日々治療にあたっています。






