『抜歯しかない』と言われた前歯を再生療法で守った症例|U デンタルオフィス恵比寿

目次
はじめに ― 「本当に抜かないとダメですか?」
恵比寿のU デンタルオフィス恵比寿には、
「歯ぐきが腫れて痛い」「前歯がぐらぐらする」
という症状で来院される患者さんが多くいらっしゃいます。
その中には、別の歯科医院で
「この歯はもう抜くしかありません」
と言われ、不安な気持ちでセカンドオピニオンとして
当院にいらっしゃる方も少なくありません。
今回は、局所的な骨の吸収と歯の動揺があり、抜歯と診断された前歯を、
歯周組織再生療法によって残すことができた症例をご紹介します。
初診時:腫れ・痛み・ぐらつきで来院
患者さんは「下の前歯の歯ぐきが腫れて痛い」との主訴で来院されました。
- 歯ぐきはぷくっと腫れ、押すと痛みがある
- 噛むと違和感が強く、歯が少し動いているように感じる
- 別の医院では「骨が溶けてしまっているので抜歯」と説明された
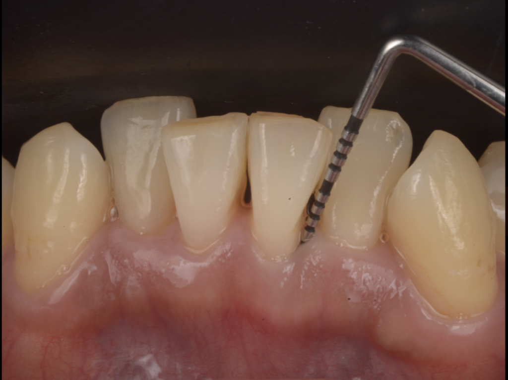
マイクロスコープとレントゲンで詳しく検査すると、
問題の歯の周囲だけ、縦に深い骨の欠損(骨吸収)があり、歯周ポケットも深い状態でした。
いわゆる“局所的に進行した歯周病”です。
いきなり抜歯ではなく、まずは「基本治療」から
当院では、たとえ他院で抜歯と診断されていても、
すぐに歯を抜くことはほとんどありません。
まず行うのは、歯周病の基本治療です。
- プロフェッショナルクリーニング
- 歯周ポケット内の徹底したデブライドメント(汚れの除去)
- 噛み合わせのチェック
- ご自宅でのブラッシング・歯間ブラシ指導
炎症が強く出ている状態で手術をしても、
良い結果が得られにくいため、
土台となる歯ぐきの環境を整えることが最優先です。
基本治療を行った後、改めてポケットの深さや動揺、
レントゲンで骨の状態をチェックし、
「この歯は再生療法で残せる可能性がある」と判断して、
手術へ進むかどうかを患者さんと一緒に決めていきます。

歯周組織再生療法とは?
歯周病で溶けてしまった骨や歯ぐきの組織を、
できるだけ元の状態に近づけることを目指す外科的な治療が
「歯周組織再生療法」です。
- 歯ぐきを開いて、歯の根の周りの汚れ・炎症組織を徹底的に取り除く
- 必要に応じて、再生を促す薬剤や膜などを用いる
- きれいに洗浄した後、歯ぐきを丁寧に縫合して治癒を待つ
大切なのは、いかに丁寧に、余計なダメージを与えず手術を行うか。
当院ではマイクロスコープや拡大鏡を使用し、
可能な限り負担の少ないオペを心がけています。
今回の症例で行った再生療法の流れ
① 炎症組織と感染源の徹底除去
局所麻酔を行い、腫れている部分の歯ぐきをそっと開きます。
すると、歯の根の周りに深い骨のくぼみと、炎症でドロドロになった組織が確認できました。
マイクロスコープ下で、
歯石や感染したセメント・プラークを徹底的に除去し、
炎症組織を丁寧に取り除きます。

② 骨の形を整え、再生のスペースを作る
そのままだと細いポケット状になっているため、
骨の形をなだらかに整え、再生に適した形にリシェイピングします。
必要に応じて、再生材料を併用しながら、
将来的に汚れが溜まりにくい形態を目指します。
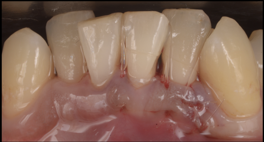
③ 歯ぐきをやさしく縫合
最後に、歯ぐきを元の位置へ戻し、
できるだけ血行を妨げないように細い糸で縫合します。
縫い方ひとつで、術後の腫れや痛み、治癒のスピードが変わってきます。
今回の患者さんも、
「思ったより全然痛くなかった」
「ほとんど腫れずに、普通に仕事にも行けました」
とおっしゃっていました。

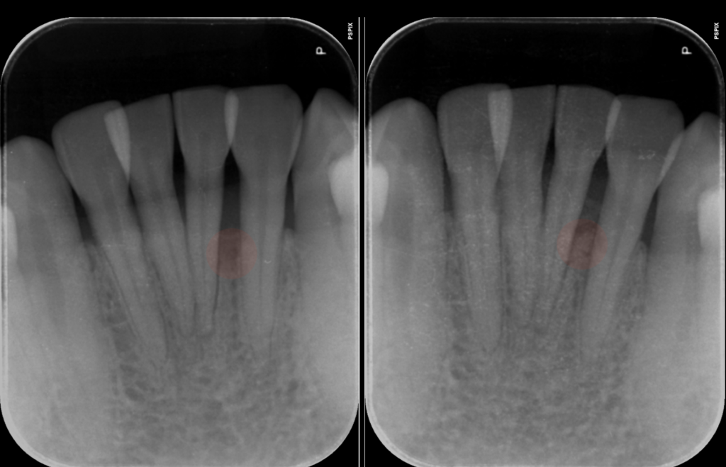
術後の経過 ― 歯の揺れが落ち着き、骨も回復
術後は、定期的にチェックとクリーニングを続けました。
数ヶ月経過すると、
- 歯の動揺がほとんど気にならないレベルまで改善
- 歯ぐきの腫れ・出血も消失
- レントゲン上で、溶けていた骨の部分に新しい骨様の陰影が確認できるように
患者さんご自身も、
「もう抜くしかないと思っていたので、
自分の歯が残せて本当にホッとしました」
と笑顔でお話しされていたのが印象的でした。
もし抜歯していたら…治療費と負担の違い
もちろん、インプラントやブリッジも素晴らしい治療法ですが、
自分の歯に勝るものはありません。
もし今回の歯を抜歯していたとしたら…
- インプラント治療を選ぶ → 手術・治療期間・費用の負担が大きい
- ブリッジを選ぶ → 両隣の健康な歯を大きく削る必要がある
- 入れ歯を選ぶ → 違和感や噛む力の低下が出やすい
これらに比べると、
再生療法で歯を残せたことは、長期的なコスト・身体への負担の両面で
大きなメリットと言えます。
「今の痛みを取ること」だけでなく、
「5年後・10年後も自分の歯で噛めること」を一緒に目指す。
それが、当院の歯周病治療のコンセプトです。
再生療法が向いているケース・向かないケース
再生療法は万能ではなく、
すべての歯が対象になるわけではありません。
向いている可能性があるケース
- 特定の歯だけ、縦に深い骨の欠損がある
- 歯の根が割れていない
- 喫煙量が多くない・全身状態が安定している
- ブラッシングなどセルフケアに前向きに取り組める
再生療法が難しいことが多いケース
- 歯根破折がある
- 歯が大きく動いていて、噛むたびに当たりが強い
- 全体的に骨が大きく失われている重度歯周病
- 抜歯してインプラントにした方が、かえって長期的に安定する場合
当院では、「無理に歯を残す」ことがゴールではなく、
一番長く安心して噛める選択は何かを、
メリット・デメリットを含めて必ずお伝えしています。
「抜歯と言われたけれど、できれば歯を残したい」という方へ
- 他院で抜歯と診断され、不安なまま様子を見ている
- 前歯や奥歯がぐらぐらしてきて心配
- 歯ぐきの腫れや膿が、何度も繰り返している
そんな方は、一度歯周病専門の視点からの精密検査を受けてみてください。
U DENTAL OFFICE EBISU では、
- マイクロスコープを用いた精密な診査・診断
- 基本治療から外科的な再生療法まで、一貫した歯周病治療
- セカンドオピニオンにも対応
を行っています。
「抜歯しかない」と言われても、
まだできることが残されている場合があります。
恵比寿・広尾エリアで
「できるだけ歯を残す治療を受けたい」
「将来を見据えた歯周病治療を探している」
という方は、どうぞお気軽にご相談ください。
U DENTAL OFFICE EBISU
恵比寿で、歯を守るための再生療法・歯周病治療をご希望の方へ。
WEB予約・お電話にて、初診カウンセリングを受け付けております。










