「手術が必要」と言われた歯周病を非外科で|恵比寿のU DENTAL OFFICE EBISU


目次
「手術が必要」と言われた歯周病でも、
― 当院では“非外科治療”で改善できる可能性があります ―
「歯周病が進行しているので、手術しないと治りません」
そう説明され、不安な気持ちのまま当院に来院される方が少なくありません。
確かに、重度の歯周病では外科的な処置(フラップ手術や再生療法など)が必要になるケースがあります。
一方で、“すべての歯周病=すぐ手術”ではない、というのが私たちU DENTAL OFFICE EBISUの考え方です。
当院では、拡大視野での精密な非外科治療に力を入れることで、
「他院で手術と言われたが、切らずにここまで良くなるとは思わなかった」
という患者さんの声を多くいただいています。
外科治療も行う医院だからこそわかる、非外科治療の“本当の力”
U DENTAL OFFICE EBISUでは、重度歯周病に対する歯周外科治療も日常的に行っています。
マイクロスコープ(歯科用顕微鏡)を用いたフラップ手術や、必要に応じた再生療法など、
歯周外科は当院の得意分野のひとつです。
だからこそ実感しているのが、
「正しい手順で非外科治療を行えば、
歯ぐきは想像以上に回復することが多い」
という事実です。
他院で「もう抜歯か、もしくは大きな手術しかない」と言われた患者さんでも、
当院で
- 精密検査による状態の“見直し”
- マイクロスコープを用いた非外科治療
- 歯科衛生士による徹底したプラークコントロール指導
を行うことで、炎症が落ち着き、
歯を抜かずに守れたケースが少なくありません。
ポイントは、
「手術を否定する」のでも「何でも非外科で押し切る」のでもなく、
“本当に必要な症例だけに外科を行う”というバランスです。
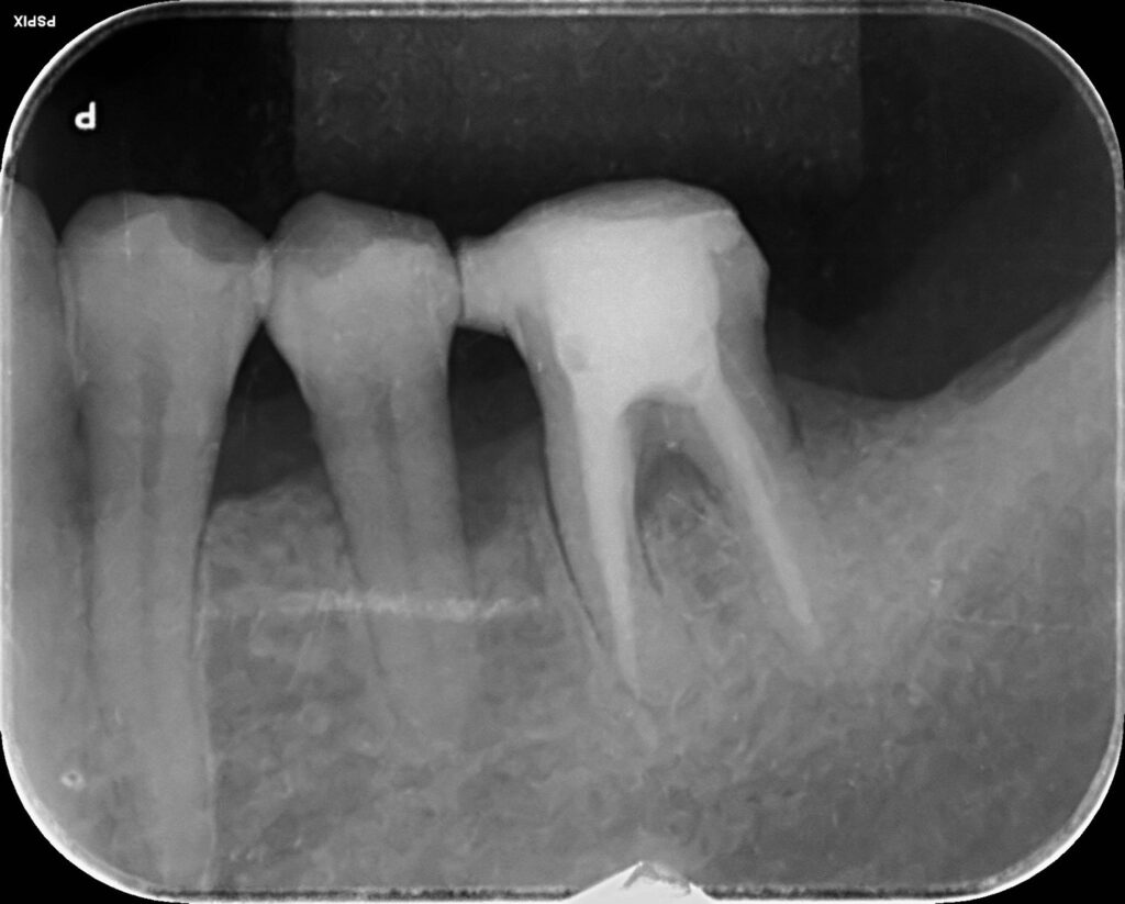
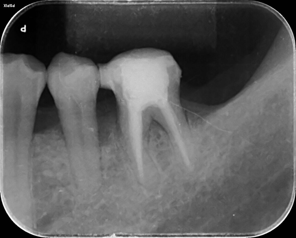
当院が行う「非外科治療」とは?
一般的にいう“歯周病の非外科治療”とは、歯ぐきを切らずに歯周ポケット内部の汚れを徹底的に取り除く治療です。
スケーリング・ルートプレーニング(SRP)と呼ばれる処置が代表的ですが、
当院ではそこに「拡大視野」と「精密さ」を加えています。
1. 拡大鏡・マイクロスコープを用いた精密クリーニング
肉眼では見えない、歯と歯ぐきの境目の“わずかな段差”や“歯石の取り残し”。
実はこれが、炎症や出血がなかなか収まらない大きな原因になります。
U DENTAL OFFICE EBISUでは、
- 拡大鏡
- マイクロスコープ
を活用し、歯周ポケットの中を拡大して確認しながら歯石・バイオフィルムを除去します。
「どこまで取れているか」を“見える化”しながら処置することで、
再感染のリスクを減らし、治癒を促します。
2. 担当衛生士制でのプラークコントロール
歯周病治療で欠かせないのが、毎日のセルフケアです。
どれだけ歯科医院で歯石を取っても、
ご自宅でのケアが変わらなければ、歯周病は再発・進行してしまいます。
当院では、患者さんごとに担当となる歯科衛生士が、
- 歯ブラシの選び方・持ち方
- 効率的な動かし方
- 歯間ブラシ・フロスの適切なサイズ
- ライフスタイルに合わせたケア方法
まで、時間をかけてお伝えします。
「今まで自己流だったけれど、磨き方を変えたら歯ぐきの出血が減った」
「面倒だと思っていたケアが、習慣になってきた」
といった変化が出てくると、
歯ぐきの見た目や触り心地も、患者さんご自身が実感しやすくなります。
3. 生活習慣・全身状態のチェック
歯周病は、お口だけの病気ではありません。
- 喫煙
- 糖尿病
- 強い噛みしめ・歯ぎしり
- ストレス
- 不規則な食生活
など、全身の状態や生活習慣と深く関係しています。
「なぜこの方は炎症が続きやすいのか?」
「どこを変えれば、歯ぐきがもっと安定するのか?」
といった視点で、生活背景も含めてアドバイスを行うことで、
“再発しにくい歯ぐき”を一緒に作っていくのが当院の非外科治療です。
この非外科の段階だけで、
- 歯ぐきの腫れが引いた
- 出血が減った/なくなった
- 歯のグラつきが落ち着いた
といった改善が見られる患者さんも、多くいらっしゃいます。
非外科で治らない場合は? 的確に見極めて外科治療へ
もちろん、すべての歯周病が非外科治療だけで完治するわけではありません。
以下のようなケースでは、外科的なアプローチが必要になることがあります。
- 歯周ポケットが非常に深く、器具が届いても十分に清掃できない
- 歯槽骨(歯を支える骨)の形態が複雑で、炎症が残りやすい
- 非外科治療を複数回行っても、深いポケットや出血が持続している
- 特定の部位だけ、どうしても炎症がコントロールできない
こうした場合、当院では
- 精密な検査(ポケット検査・レントゲン・CTなど)
- 歯周病専門的な診断
- マイクロスコープでの状態把握
を行った上で、
- どの部位を外科でアプローチすべきか
- どこまでは非外科でコントロールできるか
- 抜歯が妥当かどうか
を慎重に見極めます。
「非外科にこだわりすぎて、外科に踏み切るタイミングを逃してしまう」
「逆に、初めから“手術前提”で話が進んでしまう」
どちらも、患者さんにとってベストとは言えません。
U DENTAL OFFICE EBISUでは、
“診断力 × 技術力”を組み合わせることで、
- 不必要な手術は行わない
- 必要な手術は、適切なタイミングで、最小限の侵襲で行う
という治療方針を徹底しています。
外科・非外科の両輪で「歯を守る」
外科的アプローチにも精通しているからこそ、
- 「本当に外科が必要な症例」
- 「非外科で十分に改善が見込める症例」
の境界が見えてきます。
私たちのゴールは、
「非外科で治した」「外科で治した」という“方法”そのものではありません。
“できるだけ歯を残し、健康な歯ぐきで長く噛める状態をつくること”
これが、U DENTAL OFFICE EBISUの歯周病治療の目的です。
そのために、
- 非外科でどこまで治せるかを最大限引き出す
- 必要な部位にだけ、ピンポイントで外科を行う
- 治療後のメインテナンスで、良い状態を維持する
という三本柱で、患者さんの歯を守っていきます。
「オペしないと治らない」と言われた方へ
- 「他院で“もう治らない”“抜くしかない”と言われてしまった」
- 「怖いので、できれば手術は避けたい」
- 「セカンドオピニオンとして話だけ聞いてみたい」
こうしたお悩みをお持ちの方は、
一度U DENTAL OFFICE EBISUにご相談ください。
非外科で改善できる可能性が残っているのか、
もし外科が必要であれば、どの程度の処置なのか——
現在のお口の状態を客観的に評価し、
画像や模型をご覧いただきながら、わかりやすくご説明いたします。
もちろん、
「必ず手術をしない方向にします」とお約束することはできません。
しかし、
- 不必要な手術は勧めないこと
- どうしても必要な場合は、理由とメリット・デメリットを丁寧にお伝えすること
- 可能な限り、“低侵襲”に配慮した治療方法を選択すること
を大切にしています。
恵比寿周辺で歯周病治療の医院をお探しの方へ
U DENTAL OFFICE EBISUは、恵比寿エリアで
- マイクロスコープを用いた精密治療
- 歯周病の非外科・外科治療
- 長期的なメインテナンス
に力を入れている歯科医院です。
「手術と聞いて不安になってしまった」
「今の診断が本当に妥当なのか、もう一度確認したい」
そんな方は、まずは相談だけでも構いません。
あなたの歯が“まだ治せる”可能性を、
一緒に探していきましょう。









