【恵比寿】抜歯と診断された歯を残すために|精密根管治療と歯周再生で“自分の歯”を守る選択
「他院で抜歯しかないと言われたけれど、できれば自分の歯を残したい」


そんなご相談を、Uデンタルオフィス恵比寿では数多くお受けしています。
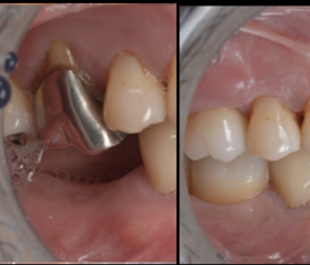
今回ご紹介するのは、歯質の大部分が失われ、根尖病巣もある難症例。
一般的にはインプラントが選択されるケースですが、
当院ではマイクロスコープ下での精密根管治療・歯周組織再生療法・咬合平面の是正を行い、
審美的にも自然な形でご自身の歯を保存することができました。
目次
抜歯と診断されるケースでも、残せる可能性はある
次のような状態では、一般的に「抜歯」と判断されることが多いです。
- 歯の根が骨から逸脱している
- 歯質がほとんど残っていない
- 根尖病巣(膿の袋)がある
しかし、当院では**“歯を残す可能性を徹底的に見極める”ことを重視しています。
CT・マイクロスコープによる3D診断で、感染・歯質・骨の状態を正確に把握し、
抜歯ではなく保存治療での再建**を目指します。
治療プロセス
① 精密根管治療(感染源の除去)
マイクロスコープを用い、根尖部の感染を完全に除去。
ラバーダムで無菌環境を保ちながら、根管内を洗浄・消毒・MTAで封鎖しました。
これにより、感染源をコントロールし、歯の保存基盤を作ります。
② 歯周組織再生療法(骨と歯ぐきの再構築)
失われた骨の支持を再生誘導材で回復。
炎症を抑え、歯の動揺を防ぎ、長期的な安定を実現しました。
咬合力が適切に分散されるよう、咬合のバランス調整も併用しています。
③ 審美的な最終補綴(セラミック修復)
形態・色調を天然歯に合わせたセラミッククラウンで修復。
見た目の美しさだけでなく、機能的な咬合も考慮しています。
治療後の結果
- 骨の再生を確認
- 根尖病変は消失
- 歯ぐきのラインも自然に回復
- 噛み合わせ・発音・審美性すべてが改善
「抜かずに済んでよかった」「自分の歯で噛めるようになった」と喜んでいただけました。
歯を残すための条件とは?
歯を保存できるかどうかは、次の3つがポイントです。
- 感染を完全に除去できるか(マイクロスコープ必須)
- 残存歯質が補綴に耐えうるか
- 骨や歯周組織が再生可能か
この3点を慎重に見極めることで、インプラント以外の選択肢を提案できます。
まとめ|「抜歯」と言われても、まずはご相談ください
歯を抜くのは簡単ですが、一度失えば二度と戻りません。
当院では、できる限り天然歯を残すために、
精密根管治療×歯周再生×審美修復を融合した治療を行っています。
「抜くしかない」と言われた歯でも、
残せる可能性があるかもしれません。
まずはご相談ください。








