【恵比寿】静脈内鎮静で怖くない親知らず抜歯|歯科恐怖症の方にも安心の治療法
「親知らずを抜きたいけれど、怖くて行けない」

「大学病院で入院と言われたけど、仕事の都合で難しい」
そんなお悩みを持つ方におすすめなのが、静脈内鎮静法(セデーション)を併用した親知らずの抜歯です。
Uデンタルオフィス恵比寿では、痛みや恐怖を最小限に抑えた“眠っているような状態で受けられる抜歯”を行っています。
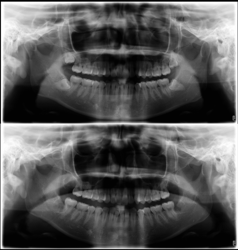
今回は、上下左右の完全埋伏智歯(4本)を同日に抜歯した20代女性の症例をもとに、
静脈内鎮静の特徴やメリットについてご紹介します。
目次
静脈内鎮静とは?
静脈内鎮静法(セデーション)とは、腕の静脈から鎮静薬を投与し、
うとうと眠っているようなリラックス状態で治療を受ける方法です。
全身麻酔とは異なり、自発呼吸が保たれたまま安全に施術できるのが特徴で、
治療中の痛みや恐怖を感じることがほとんどありません。
当院では、麻酔専門医が立ち会い、血圧・心拍・酸素濃度を常時モニタリングしながら抜歯を行うため、
初めての方でも安心して受けていただけます。
症例紹介|静脈内鎮静で4本同時抜歯を実施
20代女性。学生時代に親知らずが埋伏していることを指摘され、
「いつか抜こう」と思いながらも痛みや腫れへの不安から先延ばしにしていたとのこと。
今回は仕事の都合上、大学病院での入院が難しく、
“できるだけ1日で終わらせたい”というご希望で来院されました。
■施術内容
- 静脈内鎮静下にて上下左右の完全埋伏智歯を同日抜歯
- ピエゾサージェリーを用いて低侵襲に骨を切削
- 術後は腫れ・痛みを最小限にコントロール
術後の経過も良好で、「怖さもなく、あっという間に終わっていた」とおっしゃっていました。
恵比寿で静脈内鎮静が選ばれる理由
① 歯科恐怖症・嘔吐反射がある方も安心
鎮静中はリラックス状態で、治療中の記憶がほとんど残りません。
「歯医者が怖い」「麻酔の注射も苦手」という方でも、安心して治療を受けられます。
② 忙しい方に最適|複数歯の同日抜歯が可能
上下左右4本の親知らずも、一度の来院で抜歯が可能です。
仕事や学業で通院が難しい方にとって、短期間で治療を完了できるのは大きなメリットです。
③ 腫れ・痛みを最小限に
Uデンタルオフィス恵比寿では、ピエゾサージェリーという超音波機器を使用。
必要最小限の骨削除で済むため、術後の腫れや痛みが軽減され、
翌日には通常の生活が可能なケースもあります。
静脈内鎮静の流れ
- 事前カウンセリング 親知らずの状態をCT撮影で確認し、神経や血管との位置関係を正確に診断します。
- 麻酔医による全身状態のチェック 既往歴・内服薬などを確認し、安全に鎮静を行えるか判断します。
- 鎮静開始・抜歯 鎮静薬を投与し、リラックスした状態で抜歯を実施。 治療中の記憶はほとんど残りません。
- 回復・休憩 術後は回復室で安静に過ごし、意識が完全に戻ってからご帰宅いただきます。
よくある質問(FAQ)
Q. 静脈内鎮静は安全ですか?
A. はい。麻酔医が立会い、モニタリングしながら行うため安全性が高いです。
全身麻酔と異なり呼吸も自発的で、日帰りでの抜歯が可能です。
Q. 痛みや腫れはどのくらいですか?
A. 個人差はありますが、通常よりも腫れや痛みが軽い傾向にあります。
術後は鎮痛薬を服用することで、ほとんどの方が翌日から通常生活に戻れます。
Q. 鎮静中の記憶は残りますか?
A. 多くの方は「気づいたら終わっていた」と感じる程度で、治療中の記憶はほとんど残りません。
Q. 保険は使えますか?
A. 鎮静法は自費診療となりますが、医療費控除の対象です。詳細はカウンセリング時にご案内します。
まとめ
静脈内鎮静による親知らずの抜歯は、
「怖くない・痛くない・一度で終わる」を叶える新しい選択肢です。
歯科恐怖症の方、大学病院への入院が難しい方、仕事が忙しい方にもおすすめです。
Uデンタルオフィス恵比寿では、
安全・確実・快適な抜歯を目指して一人ひとりに合わせた治療を行っています。
まずはお気軽にご相談ください。
📞 ご予約・お問い合わせ
03-6721-9771









