噛めない不安を最小限の手術回数で|上下インプラントブリッジ+部分矯正で成立させた症例(恵比寿)
「歯ぐきが腫れて膿む」「歯がグラグラして噛めない」
症状が続くほど不安が強くなり、“何から手をつければいいのか分からない”状態になってしまう方もいらっしゃいます。
今回の患者様も、噛めない状態が続き、生活の質が大きく下がっていました。さらに、
• できるだけ手術回数を減らしたい
• 大きな手術は怖いので避けたい
• 予算は抑えたいが、きちんと治したい
というご希望がありました。
当院では、単にインプラントを増やすのではなく、噛み合わせの作り直し(部分矯正)を組み合わせて、少ない本数でも成立する設計へ。
上下ともにインプラントブリッジで機能回復を図り、外科は抜歯即時を含めて1回にまとめたケースです。
症状が続くほど不安が強くなり、“何から手をつければいいのか分からない”状態になってしまう方もいらっしゃいます。
今回の患者様も、噛めない状態が続き、生活の質が大きく下がっていました。さらに、
• できるだけ手術回数を減らしたい
• 大きな手術は怖いので避けたい
• 予算は抑えたいが、きちんと治したい
というご希望がありました。
当院では、単にインプラントを増やすのではなく、噛み合わせの作り直し(部分矯正)を組み合わせて、少ない本数でも成立する設計へ。
上下ともにインプラントブリッジで機能回復を図り、外科は抜歯即時を含めて1回にまとめたケースです。
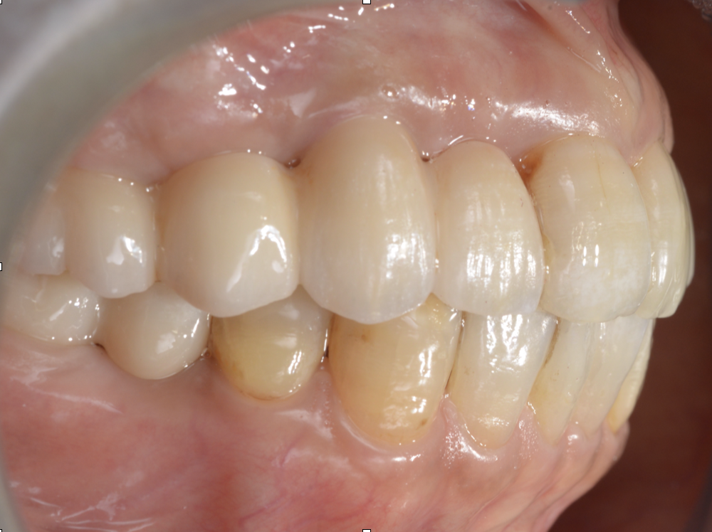
治療前

治療後

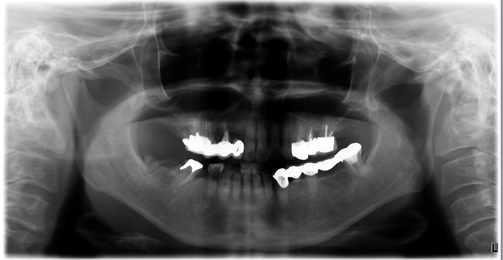
治療前

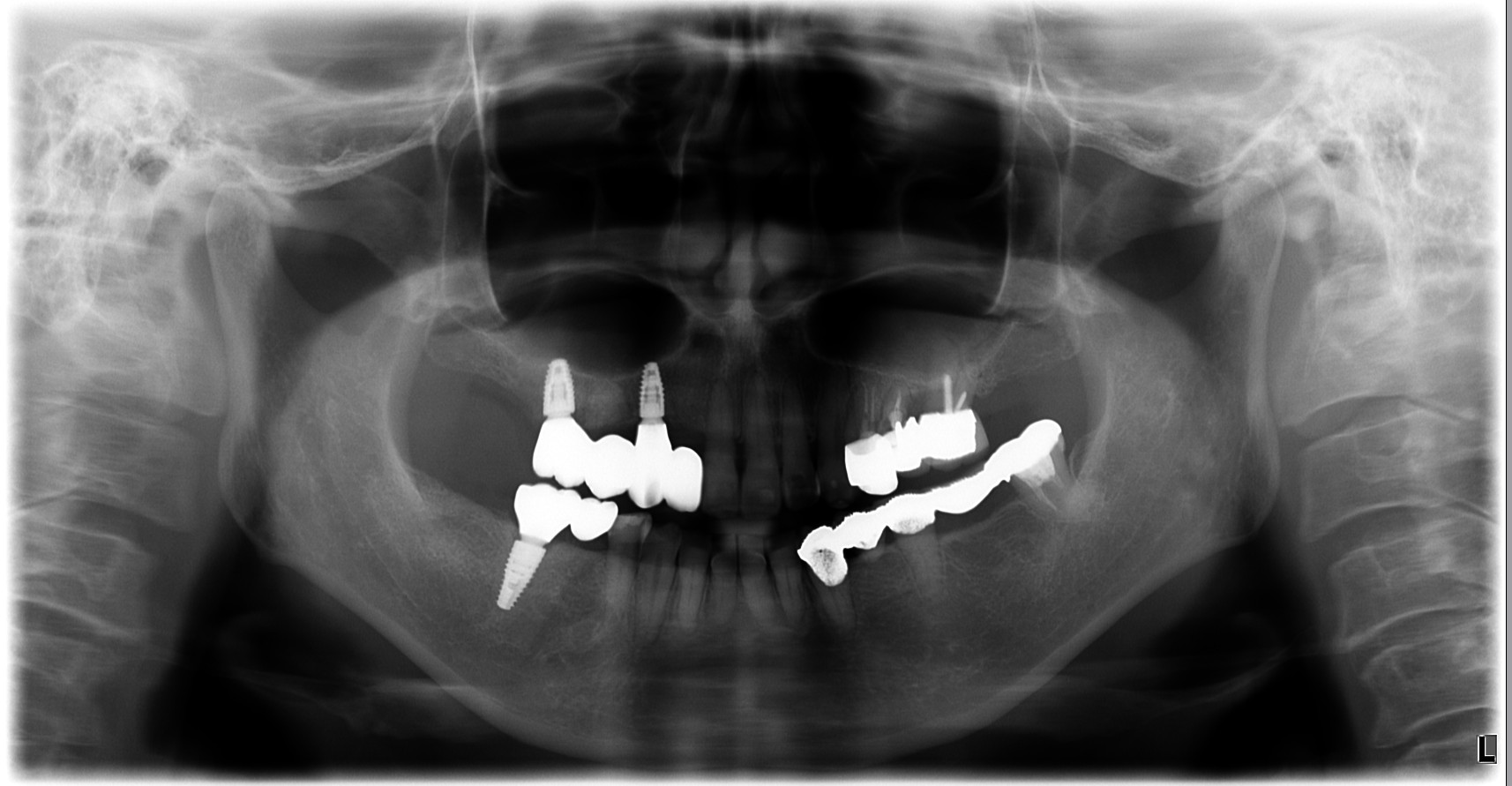
治療後

治療前

治療後

| 担当医 | 生野誠 |
|---|---|
| 主訴 | • 膿む/腫れる • 歯がグラグラして噛めない • 不安が強く、どう治せばよいか分からない • 予算は現実的にしたい • ただし中途半端ではなく、ちゃんと治したい • 体の心配もあり、手術回数はできるだけ減らしたい • 大きな手術は避けたい |
| 期間 | 12ヶ月 |
| 費用 | 230万 |
| 治療内容 | 初診時の考え方:原因は「歯」だけではなく“設計”のことがある 腫れや動揺があると、「歯周病だから」「根が悪いから」と言われがちですが、再治療で大切なのは なぜその状態まで進んだのかを整理することです。 補綴(被せ物・ブリッジ等)の設計や噛み合わせに無理があると、特定部位に力が集中して • 炎症(腫れ・排膿) • 動揺(グラつき) • 噛めない という状態に進行することがあります。 このケースも、力のかかり方を見直し、噛み合わせと補綴設計を再構成することが治療の軸になりました。 ⸻ 奥歯が噛めない → 前歯が働きすぎて切端咬合になっていた 患者様は「奥歯で噛めない」状態を補うように、前方で噛む癖がつき、 切端咬合(前歯同士がぶつかる噛み方)になっていました。 切端咬合は、 • 前歯が欠けやすい/すり減りやすい • 補綴が壊れやすい • 力の逃げ場がなくなる など、治療後の安定を難しくする要因になります。 そのため今回は、インプラント治療だけで完結させるのではなく、前歯の噛み合わせも作り直す必要がありました。 ⸻ 治療方針:本数を増やすのではなく“成立させる条件”を整える 患者様の条件(費用・怖さ・体の負担)を踏まえ、当院では • インプラントは3本に絞る • 上下ともにインプラントブリッジで噛める機能を回復 • 部分矯正で切端咬合を改善し、少ない本数でも成立する咬合へ • 可能な範囲で抜歯即時を選択し、外科を1回にまとめる という方針を採用しました。 ⸻ 治療のポイント①:部分矯正は“見た目”ではなく、設計を成立させるために使う 本数を絞った設計を成立させるには、力のかけ方(咬合設計)を整えることが重要です。 そこで、部分矯正で • 前歯の被蓋(かみ合わせ)を再構築 • 前歯に負担が集中しない状態へ • ブリッジに無理が出ない噛み合わせへ と調整し、少ない本数でも長期安定を狙える条件に近づけました。 ⸻ 治療のポイント②:上下インプラントブリッジ+材料選択(高強度ジルコニア) 上下ともにブリッジ設計の場合、材料と厚みの設計が安定性に直結します。 今回は、審美性や立体感はやや制限される可能性がある一方で、 強度を優先できる高強度ジルコニアを選択し、必要な厚みを確保しました。 「見た目の理想」よりも、まずは 噛めること/壊れにくいこと/長く使えること を優先した設計です。 ⸻ 治療のポイント③:抜歯即時で外科は1回にまとめる 患者様の「手術が怖い」「回数を減らしたい」という希望に対して、 感染や骨の条件を見極めたうえで、可能な範囲で抜歯と同日にインプラント埋入(抜歯即時)を行い、外科介入を1回にまとめました。 ※抜歯即時は、すべてのケースに適応できる方法ではありません。 ⸻ 治療後の経過(結果) • 噛めない状態が改善し、食事の不安が軽減 • 切端咬合を改善し、前歯の負担を減らす方向へ • 少ない本数でも成立するよう、噛み合わせと設計を最優先で再構成 ⸻ 担当医コメント 「理想形」だけを追うと、治療は大きくなりがちです。 今回のように、患者様の希望(負担・回数・費用)を尊重しながら、噛み合わせと設計を整えることで“成立させる治療”を選ぶことも大切だと考えています。 |
| 治療に伴うリスク | • 術後の腫れ、疼痛、出血、感染 • インプラント周囲炎のリスク(清掃と定期管理が必要) • 補綴物(ジルコニア)の欠け・破折の可能性(強い歯ぎしり等) • 矯正に伴う疼痛、歯根吸収などのリスク • 長期安定のため、継続的メンテナンスが必要 |





